<?xml version="1.0" encoding="UTF-8"?><rss version="2.0"
	xmlns:content="http://purl.org/rss/1.0/modules/content/"
	xmlns:wfw="http://wellformedweb.org/CommentAPI/"
	xmlns:dc="http://purl.org/dc/elements/1.1/"
	xmlns:atom="http://www.w3.org/2005/Atom"
	xmlns:sy="http://purl.org/rss/1.0/modules/syndication/"
	xmlns:slash="http://purl.org/rss/1.0/modules/slash/"
	>

<channel>
	<title>Comment poser un Kinesiotape</title>
	<atom:link href="https://commentposeruntape.fr/feed/" rel="self" type="application/rss+xml" />
	<link>https://commentposeruntape.fr/</link>
	<description></description>
	<lastBuildDate>Thu, 10 Jun 2021 06:29:54 +0000</lastBuildDate>
	<language>fr-FR</language>
	<sy:updatePeriod>
	hourly	</sy:updatePeriod>
	<sy:updateFrequency>
	1	</sy:updateFrequency>
	
<site xmlns="com-wordpress:feed-additions:1">159125044</site>	<item>
		<title>LES APPLICATIONS CORRECTRICES DU TAPE NEURO-PROPRIOCEPTIF SUR LES TENDONS</title>
		<link>https://commentposeruntape.fr/les-tendinopathies/?utm_source=rss&#038;utm_medium=rss&#038;utm_campaign=les-tendinopathies</link>
					<comments>https://commentposeruntape.fr/les-tendinopathies/#respond</comments>
		
		<dc:creator><![CDATA[laurent]]></dc:creator>
		<pubDate>Thu, 23 Apr 2020 17:08:37 +0000</pubDate>
				<category><![CDATA[Actualité]]></category>
		<guid isPermaLink="false">https://commentposeruntape.fr/?p=34149</guid>

					<description><![CDATA[<p>Les propriétés mécaniques du kinésiotape vont vous étonner. Ce dernier a pour particularité de fournir des techniques d&#8217;applications correctrices. Ces corrections peuvent être appliquées aux niveaux: articulaires ligamentaires et tendineux tissus conjonctifs ou fascias _______________________________________________ Nous utiliserons les qualités élastiques de ce tissu en coton pour déterminer une action précise. [&#8230;]</p>
<p>L’article <a href="https://commentposeruntape.fr/les-tendinopathies/">LES APPLICATIONS CORRECTRICES DU TAPE NEURO-PROPRIOCEPTIF SUR LES TENDONS</a> est apparu en premier sur <a href="https://commentposeruntape.fr">Comment poser un Kinesiotape</a>.</p>
]]></description>
										<content:encoded><![CDATA[<p>Les propriétés mécaniques du kinésiotape vont vous étonner. Ce dernier a pour particularité de fournir des techniques d&#8217;applications correctrices.</p>
<p style="text-align: center;">Ces corrections peuvent être appliquées aux niveaux:</p>
<ul>
<li style="list-style-type: none;">
<ul>
<li style="list-style-type: none;">
<ul>
<li>articulaires</li>
<li>ligamentaires et tendineux</li>
<li>tissus conjonctifs ou fascias</li>
</ul>
</li>
</ul>
</li>
</ul>
<p>_______________________________________________</p>
<p style="text-align: center;"><span style="font-size: 18pt; color: #ff6600;">Nous utiliserons les qualités élastiques de ce tissu en coton pour déterminer une action précise</span><span style="color: #ff6600;">.</span></p>
<p><span style="color: #000000;">_______________________________________________</span></p>
<p style="text-align: center;"><span style="font-size: 24pt;"><em><strong>Episode 2 :</strong></em></span></p>
<p style="text-align: center;"><span style="font-size: 24pt;"><em><strong>on continue par la correction des tendons</strong></em></span></p>
<p><span style="font-size: 10pt;">Pour les moins motivés la vidéo explicative sur l&#8217;application du tape se trouve en fin d&#8217;article (<a href="https://commentposeruntape.fr/tendinopathies/#Video">cliquez ici</a>)</span></p>
<h3 style="text-align: center;"><span style="font-size: 24pt;"><em><img fetchpriority="high" decoding="async" src="https://commentposeruntape.fr/wp-content/uploads/2020/04/subdivision-tendineuse-177x300.jpg" alt="tendinopathies" width="314" height="533" class="aligncenter wp-image-34176" title="tendinopathies" srcset="https://commentposeruntape.fr/wp-content/uploads/2020/04/subdivision-tendineuse-177x300.jpg 177w, https://commentposeruntape.fr/wp-content/uploads/2020/04/subdivision-tendineuse.jpg 565w" sizes="(max-width: 314px) 100vw, 314px" />A- Rappels anatomiques</em></span></h3>
<p>Les tendons sont les terminaisons fibreuses du muscles chargées d&#8217;arrimer fortement les muscles aux os. ils se subdivisent en trois partie</p>
<ol>
<li style="list-style-type: none;">
<ol>
<li style="list-style-type: none;">
<ol>
<li>la jonction musculotendineuse</li>
<li>le corps du tendon</li>
<li>la jonction tendino-osseuse</li>
</ol>
</li>
</ol>
</li>
</ol>
<p><span style="color: #ff6600;">les tendons se composent</span> en grande partie de fibres <span style="color: #ff6600;">de collagène type I</span> (30% de la masse d&#8217;un tendon), <span style="color: #ff6600;">et d’élastine</span> pour 2% . Le tout se regroupe au sein d’une matrice extracellulaire (68%) composée à 2/3 d’eau et 1/3 de cellules ténocytes et endoblastes.<a href="https://www.google.com/search?q=ORGANISATION+DES+TENDONS&amp;sxsrf=ALeKk00rtcuiEMsBH6PhrEZoY3_oWPQ87A:1587573706516&amp;source=lnms&amp;tbm=isch&amp;sa=X&amp;ved=2ahUKEwiumNP2vPzoAhWqx4UKHTqCBV8Q_AUoAXoECA0QAw&amp;biw=1600&amp;bih=757"> L&#8217;organisation structurelle</a> des fibres de collagène leurs permettent d&#8217;être <span style="color: #ff6600;">très résistants<span style="color: #000000;">.</span></span> Certains tendons sont <span style="color: #ff6600;">recouverts d’une gaine lubrifiée</span> (liquide synovial) facilitant les mouvements (ex la main), d&#8217;autres sont protégés<span style="color: #ff6600;"> ou coulissent sur des coussinets</span> ou bourses séreuses (tendon d&#8217;Achille).</p>
<p>Ils sont beaucoup <span style="color: #ff6600;">moins élastiques que les ligaments</span>. Les tendons font partis de la structure musculaire toutefois, ils <span style="color: #ff6600;">ne sont pas contractiles</span> comme les muscles. Ils sont <span style="color: #ff6600;">peu vascularisés</span> donc se régénèrent beaucoup plus difficilement en cas de lésions. Ils sont <span style="color: #ff6600;">très innervés</span> d&#8217;ou leur faculté d&#8217;être réactifs aux changements de pressions ou de directions exercée sur une articulation. Très <span style="color: #ff6600;">peu extensibles</span>, à l’échelle du tendon, l’allongement physiologique est de l’ordre de 4% de sa longueur (donc arrêtez de vouloir les étirer et consacrez vous uniquement aux étirements des corps musculaires). Ils sont <span style="color: #ff6600;">de formes variables</span> (ronde, plate, courte ou longue) afin de s&#8217;adapter localement.</p>
<p>&nbsp;</p>
<h3 style="text-align: center;"><span style="font-size: 24pt;"><em>B-  Quels sont leurs rôles</em></span></h3>
<blockquote><p>Le principal rôle des tendons est <span style="color: #ff6600;">de transmettre la force générée par les muscles</span> jusqu’aux os, afin de créer un mouvement. le second rôle, et pour moi la plus importante, est <span style="color: #ff6600;">de réguler la contraction musculaire</span>, grâce aux mécanorécepteurs de type III de Golgi. Sa situation à la jonction tendino-musculaire lui permet de recueillir des informations sur l’étirement musculaire et de coordonner ainsi l’activité musculaire. Les tendons ne servent donc pas uniquement d’attaches anatomiques, ils permettent aussi aux muscles de transférer des forces mécaniques aux articulations en amortissant leurs contraintes sur les structures péri articulaires : ligaments, capsules…</p></blockquote>
<p>En conséquence <span style="color: #ff6600;">ils ont un rôle dans la dynamique des mouvements et dans la stabilisation des articulations</span>.</p>
<blockquote><p>Les tendons sont soumis à des stress quotidiens tels que des travaux répétitifs, les traumatismes directs, les efforts ou les étirements excessifs. Pour accentuer le tout, on dort mal et trop tard, on mange mal (nourriture trop inflammatoire un p&#8217;tit Mac Do ?), le boulot nous préoccupe. Ça me semble juste en temps, j&#8217;ai une heure ce midi pour pratiquer mon sport, je dois faire vite. Tout ceci peut engendrer différentes pathologies (tendineuses &#8211; musculaires).</p></blockquote>
<p>&nbsp;</p>
<h3 style="text-align: center;"><span style="font-size: 24pt;"><em>C- Alors quelles sont ces tendinopathies ?</em></span></h3>
<p>elles se caractérisent par:</p>
<ul>
<li style="list-style-type: none;">
<ul>
<li style="list-style-type: none;">
<ul style="list-style-type: circle;">
<li><span style="font-size: 24pt;"><em style="font-family: Lora;">Leurs types de lésions</em></span></li>
</ul>
</li>
</ul>
</li>
</ul>
<p><iframe width="560" height="314" src="//www.youtube.com/embed/6MRPE9_vwYk" allowfullscreen="allowfullscreen"></iframe></p>
<p><span style="font-size: 10pt;">vidéo explicative de la modification réactionnelle tissulaire du tendon mais elle est en anglais&#8230;</span></p>
<p>&nbsp;</p>
<p style="text-align: center;"><em><span style="font-size: 18pt;">1- La tendinopathie réactionnelle</span></em></p>
<blockquote><p><span style="color: #ff6600;">Elle est la réponse du tendon à une augmentation de la charge inappropriée, un manque de récupération, voir un traumatisme directe.</span></p></blockquote>
<p>Lors de cette suractivité, <span style="color: #ff6600;">le tendon subit un compression </span> extra-cellulaire par la <span style="color: #ff6600;">réduction de l&#8217;espace entre les fibres</span> de collagène. La raison, à cela, est l&#8217;augmentation hydrique de la matrice extracellulaire (<span style="color: #ff6600;">elle se charge en eau</span>). Cela <span style="color: #ff6600;">entraîne un épaississement du tendon</span> (écartement des fibres de collagène). Leurs répétitions pourraient être à l&#8217;origine de la réorganisation cellulaire retrouvée dans les tendinopathies remaniées.</p>
<blockquote><p><span style="color: #ff6600;">Nous avons longtemps pensé que cette réaction impliquait une inflammation mais nous savons maintenant que ce n’est pas le cas. Cette perméabilité cellulaire, ce mouvement aqueux n&#8217;est pas une inflammation.</span></p></blockquote>
<p>A ce stade le tendon réactionnel reste intact. Il n’y a que des changements infimes au niveau de l’intégrité du collagène. C&#8217;est réversible.</p>
<p>&nbsp;</p>
<p style="text-align: center;"><em><span style="font-size: 18pt;">2- Le tendon remanié</span></em></p>
<blockquote><p>C&#8217;est la suite logique quand <span style="color: #ff6600;">les contraintes deviennent chroniques</span>. <span style="color: #ff6600;">Les phases repos, insufisantes</span>, ne permettent plus les actions de <a href="http://www.ipubli.inserm.fr/bitstream/handle/10608/5451/MS_2005_2_181.pdf">protéolyse</a> (régénérescence). Cette phase est nécessaire pour la <span style="color: #ff6600;">reconstitution cellulaire</span> et pourrait être à l’origine de la <span style="color: #ff6600;">désorganisation cellulaire</span> que l’on remarque dans les tendinopathies.</p></blockquote>
<p>L’atteinte est similaire au stade précédent mais la structure commence à changer avec une plus grande dégradation de la matrice.</p>
<p>On y retrouve une:</p>
<ul>
<li style="list-style-type: none;">
<ul>
<li>Production de collagènes de type 3 (plus petites)</li>
<li>Croissance d’une néovascularisation à l’intérieur de la matrice</li>
<li style="text-align: left;">Croissance de fibres nerveuses sensibles à la substance P.</li>
</ul>
</li>
</ul>
<p>La SP est impliquée dans des fonctions défensives, d&#8217;alarme, parmi  lesquelles la douleur.</p>
<ul>
<li style="list-style-type: none;">
<ul style="list-style-type: disc;"></ul>
</li>
</ul>
<p>&nbsp;</p>
<ol style="list-style-type: lower-alpha;"></ol>
<p style="text-align: center;"><em><span style="font-size: 18pt;">3- La tendinopathie dégénérative</span></em></p>
<p>C&#8217;est maintenant<span style="color: #ff6600;"> irréversible ou presque</span>. Elle est plus commune chez les athlètes plus âgés.<br />
On retrouve de multiples changements structuraux qui diminuent sa résistance à la charge. Le collagène devient de plus en plus désorganisé. <span style="color: #ff6600;">Le collagène de type III remplace le collagène de type I</span> : ces fibres sont plus fines et <span style="color: #ff6600;">plus fragile</span>, donc <span style="color: #ff6600;">moins résistantes à la mise en tension</span> et à la mise en charge.<br />
Les déchirures de la matrice laissent place à <span style="color: #ff6600;">une prolifération vasculaire (vaisseaux sanguins) et neuronale</span> <span style="color: #ff6600;">(terminaison nerveuse)</span> encore plus importante: <em>une vrai anarchie.</em></p>
<blockquote><p><span style="color: #ff6600;">Le tendon apparaît épaissi, noduleux</span> (<span> organisation suite à une micro-rupture). Il</span> présente des risques de rupture totale lors de dégénérescences avancées. Les parties dégénératives du tendon apparaissent mécaniquement silencieuses et structurellement incapables de transmettre la charge de traction.</p></blockquote>
<p>Au final, <span style="color: #ff6600;">cela peut entraîner une surcharge dans la partie normale du tendon et se traduire par l&#8217;apparition d&#8217;une tendinopathie réactive dans la partie non atteinte.</span><br />
Les changements structurels deviennent permanents avec moins d’activité cellulaire.</p>
<p>&nbsp;</p>
<ul>
<li style="list-style-type: none;">
<ul>
<li style="list-style-type: none;">
<ul style="list-style-type: circle;">
<li><span style="font-size: 24pt;"><em>Leurs localisations</em></span></li>
</ul>
</li>
</ul>
</li>
</ul>
<ol>
<li><span style="color: #ff6600;">*</span>  Au niveau de la jonction musculotendineuse comme La myotendinite ou La ténomyosite (&#8220;inflammation&#8221; muscle/tendon).</li>
<li><span style="color: #ff6600;">*</span>  Au niveau de l&#8217;insertion osseuse comme la ténopériostite (&#8220;inflammation&#8221; tendon/périoste) ou La ténobursite (inflammation tendon/bursite).</li>
<li><span style="color: #ff6600;">*</span>  La tendinite &#8220;vrai&#8221; ou la ténosynovite (&#8220;inflammation&#8221; de la gaine synoviale)  se localise sur le tendon.</li>
</ol>
<p>&nbsp;</p>
<ul>
<li style="list-style-type: none;">
<ul>
<li style="list-style-type: none;">
<ul style="list-style-type: circle;">
<li><em><span style="font-size: 18pt;"> <span style="font-size: 24pt;">Leurs gravités</span></span></em></li>
</ul>
</li>
</ul>
</li>
</ul>
<p>Les différents stades sont:</p>
<p style="text-align: left;"><span style="color: #ff6600;">*</span>   stade 1 : douleurs essentiellement après l’effort et disparaissant au repos.</p>
<p style="text-align: left;"><span style="color: #ff6600;">*</span>   stade 2 : douleurs pendant l’effort, disparaissant après l’échauffement et réapparaissant avec la fatigue</p>
<p><span style="color: #ff6600;">*</span>  stade 3 : douleurs permanentes lors et en dehors des activités sportives,</p>
<ol>
<li style="list-style-type: none;">
<ol style="list-style-type: lower-alpha;">
<li style="text-align: left;"> une limitation de l’entraînement,</li>
<li style="text-align: left;"> une gêne dans la vie quotidienne .</li>
</ol>
</li>
</ol>
<p style="text-align: left;"><span style="color: #ff6600;">*</span>  stade 4 : rupture tendineuse.</p>
<blockquote><p><span style="color: #ff6600;">Il apparaît utile d’apprécier aussi</span> <span style="color: #ff6600;">la chronologie</span> des symptômes selon 3 stades :</p></blockquote>
<ol>
<li>  Stade aiguë : symptômes présents depuis moins de 6 semaines;</li>
<li>  Stade subaiguë : symptomatologie évoluant depuis 6 à 12 semaines;</li>
<li>  Chronicité : persistance des symptômes au-delà de 3 mois.</li>
</ol>
<p>&nbsp;</p>
<p>&nbsp;</p>
<h3 style="text-align: center;"><em><span style="font-size: 24pt;">D- Les causes favorisant les tendinopathies</span></em></h3>
<p style="text-align: left;"><span style="color: #ff6600;">L&#8217;excès de contraintes mécaniques demeure la cause principale de tendinopathies. Cependant, </span><span style="color: #ff6600;">de multiples facteurs intrinsèques (génétiques, hormonaux) et extrinsèques (environnements mécaniques, pharmacologies) coexistent</span></p>
<h3 style="text-align: center;"><em><span style="font-size: 18pt;">a &#8211; Les Facteurs intrinsèques :</span></em></h3>
<ul>
<li style="list-style-type: none;">
<ul>
<li><span style="color: #ff6600;">l’âge</span> : il augmente le risque d&#8217;affections et de calcification des tendons ; la morphologie des articulations : Certaines malformations anatomiques (varus, valgus, etc.) augmentent le risque de lésions tendineuses.</li>
<li><span style="color: #ff6600;">le métabolisme</span> : la déshydratation par exemple peut vulnérabiliser le tendon, la carence en vitamines C.</li>
<li><span style="color: #ff6600;">la raideur</span></li>
<li><span style="color: #ff6600;">le surpoids</span></li>
<li><span style="color: #ff6600;">la sédentarité</span></li>
</ul>
</li>
</ul>
<p>Ces facteurs sont généralement d’une importance relative, tant que le tendon n&#8217;est pas sur-sollicité ou en l&#8217;absence d&#8217;association avec des facteurs extrinsèques.</p>
<p style="text-align: center;"><em style="font-family: Lora; font-size: 32px; text-align: center;"><span style="font-size: 18pt;">b &#8211; Les Facteurs extrinsèques</span></em></p>
<p>Comme:</p>
<ol>
<li style="list-style-type: none;">
<ol>
<li>Les infections virales ou bactériennes (attention si rhume)</li>
<li>les « mauvais gestes » répétés, durant un entraînement sportif ou lors d&#8217;activités professionnelles.</li>
<li>Un mauvais chaussage</li>
<li>Certains traitements médicamenteux</li>
<li>traitement par ondes de choc, qui peuvent, généralement provisoirement, réactiver une douleur du tendon</li>
<li>les échauffements inadaptés</li>
<li>Les surfaces d&#8217;entrainement</li>
<li>les plannings d&#8217;entrainement</li>
<li>le mauvais matériel</li>
<li>l&#8217;utilisation de médicaments (ex antibiotique)</li>
</ol>
</li>
</ol>
<h3></h3>
<p>&nbsp;</p>
<h3 style="text-align: center;"><em>E- Les signes cliniques des tendinopathies</em></h3>
<p>les principaux signes cliniques sont:</p>
<ul>
<li style="list-style-type: none;">
<ul>
<li style="list-style-type: none;">
<ul>
<li><span style="color: #ff6600;">les douleurs à la palpation</span></li>
<li><span style="color: #ff6600;"> en fin d&#8217;étirement</span></li>
<li><span style="color: #ff6600;"> à la contraction isométrique</span></li>
</ul>
</li>
</ul>
</li>
</ul>
<p>Possibilité de trouver  un épaississement du tendon.</p>
<ul>
<li style="list-style-type: none;">
<ul>
<li>Attention la mobilisation articulaire est indolore.</li>
</ul>
</li>
</ul>
<p><span style="color: #ff6600;">L’échographie est le meilleur diagnostic</span> pour définir le type de tendinopathies en absence de concordance avec les signes cliniques. <span style="color: #ff6600;">l&#8217;IRM mettra tout le monde d&#8217;accord.  </span></p>
<p>&nbsp;</p>
<p>&nbsp;</p>
<h3 style="text-align: center;"><em> F &#8211; Les traitements de la tendinopathie</em></h3>
<blockquote><p>Le but est de calmer les douleurs et de réduire l’inflammation. Des antalgiques oraux sont souvent préconisés, des anti inflammatoires par voie orale ou en applications locales sont aussi  conseillés. Dans les cas de lésions inflammatoires, il est conseillé d’appliquer localement de la glace sur la blessure, de faire des étirements. La thérapie s’accompagne impérativement d’une mise au repos partielle ou totale du membre concerné voir même une décharge totale. (protocole préhistorique)</p></blockquote>
<p style="text-align: center;"><span style="font-size: 18pt; color: #ff6600;">MAIS APRES VOUS AVOIR DÉCRIT LES TENDINOPATHIES CROYEZ VOUS TOUT CELA BIEN APPROPRIÉ ?</span></p>
<ul>
<li style="list-style-type: none;">
<ul style="list-style-type: circle;">
<li><span style="color: #ff6600;">Actuellement</span>, le protocole de traitement des tendinopathies est encore hypothétique mais les résultats des différentes études sur le sujet permettent de mettre en évidence une efficacité significative de certains moyens de traitement. En effet, <span style="color: #ff6600;">l&#8217;entraînement excentrique constitue le traitement phare de la rééducation de cette pathologie.</span></li>
</ul>
<ul style="list-style-type: circle;">
<li>ATTENTION CECI EST VRAI dans le cas d’une tendinopathie dégénérative. L&#8217;entrainement excentrique serait efficace,<span style="color: #ff6600;"> mais aggraverait probablement si la tendinopathie est réactionelle</span>. Déterminer le niveau d’atteinte est donc important !</li>
</ul>
</li>
</ul>
<p>&nbsp;</p>
<ul>
<li>Cook et Purdam simplifient la prise en charge selon deux niveaux d’atteinte :<br />
1) réactionnelle/début de remaniement structurel (early disrepair)<br />
2) remaniement avancé (late dysrepair)/dégénératif</li>
</ul>
<p style="text-align: left;">Lorsque les contraintes appliquées sur le tendon se situent dans l&#8217;intervalle physiologique  (entre 0 et 4 % la norme), il existe un équilibre métabolique. En<br />
réponse à ces sollicitations mécaniques, des cellules synthétisent du collagène,  pour maintenir l&#8217;équilibre de l&#8217;homéostasie tendineuse : c&#8217;est la mécano-transduction .</p>
<h5 style="text-align: center;"><span style="color: #ff6600; font-size: 18pt;">1-PRISE EN CHARGE DES TENDINOPATHIES RÉACTIVES OU EN DÉBUT DE PHASE DE REMANIEMENT</span></h5>
<p>La gestion de la charge appliquée au tendon est sans hésitation le traitement le plus important pour ce niveau d’atteinte. Cela signifie qu’<span style="color: #ff6600;">il faut réduire à la fois les charges en tension mais également en compression sur le tendon.</span></p>
<ul>
<li>La charge par tension ou tensionnelle se définit par <span style="color: #ff6600;">les tensions  supportées lors que le muscle se contracte ou résiste à une force d’étirement.</span></li>
<li>La charge de compression se définit par les compressions contre&#8230;
<ul>
<li>les chaussures pour le tendons d&#8217;achille par exemple</li>
<li>la position assise pour les ischio-jambiers (je suis assis dessus).</li>
</ul>
</li>
</ul>
<blockquote><p><span>Gérer les contraintes <span style="color: #ff6600;">ne</span> signifie donc <span style="color: #ff6600;">pas décharger complètement</span> le tendon </span><span>durant cette période vous pourrez continuer vos activités sportives tout en diminuant les distances, les vitesses de course, les foulées.</span></p></blockquote>
<p><span>En fonction de la sévérité de la tendinopathie, cela pourrait signifier qu’il faut arrêter de courir temporairement ou modifier l’entraînement. Selon certains auteurs <span style="color: #ff6600;">la douleur peut être présente pendant 5 à 10 jours. Alors prenez patience&#8230;</span></span></p>
<blockquote><p><span style="color: #ff6600;">Les exercices isométriques sans mouvement articulaire </span><span><span style="color: #ff6600;">peuvent réduire la douleur</span> et maintenir la force du muscle au stade réactif. Mais ces exercices doivent être réalisés dans des positions de non contrainte.</span></p></blockquote>
<p><span style="color: #ff6600;">Les étirements sont à proscrire</span> (trop de contrainte de tension).</p>
<p>Pour éviter toute récidive vous pourrez mettre en place des renforcements musculaires lors de vos entraînements (voir partie 2)</p>
<p>&nbsp;</p>
<h5 class="access" style="text-align: center;"><span style="color: #ff6600; font-size: 18pt;">2-DU TENDON REMANIÉ CHRONIQUE  À LA TENDINOPATHIE DÉGÉNÉRATIVE</span></h5>
<p>Maintenant que les modifications structurelles semblent acquises, <span style="color: #ff6600;">il est primordial de connaître ce qui aggrave vos symptômes</span><span>. Lorsque vous savez quelles sont les choses qui augmentent votre douleur vous pouvez cibler ce qu’il faut modifier.</span></p>
<blockquote><p>Le tendon peut s’adapter à la charge de &#8220;travail&#8221; dès l’instant qu’on lui laisse suffisamment de temps de repos. Prenez un voir 3 jours de repos si nécessaire. Sans ce délai, la situation risque de s&#8217;aggraver sur la partie du  tendon  dit &#8220;sein&#8221;. Une tendinopathie réactionnelle pourrait alors réapparaître.</p></blockquote>
<p><span>A ce stade et sans amplification de la douleur chronique il est temps et important de démarrer un travail musculaire. Ce dernier se compose d&#8217;un mix  d&#8217;exercices isométriques, excentriques et concentrique/excentriques.</span></p>
<p>&nbsp;</p>
<p style="text-align: center;"><span style="font-size: 18pt;"><em><span style="color: #ff6600;">Arrêtez nous deux minutes sur la travail musculaire excentrique</span></em></span></p>
<ul>
<li style="list-style-type: none;">
<ul style="list-style-type: circle;"></ul>
</li>
</ul>
<p>Lorsque vous courez ou vous sautez, vous amortissez chaque réception. Les articulations du membre inférieur se fléchissent légèrement alors que vos muscles freinent le mouvement. Les structures osseuses vont dans un sens alors que les masses musculaires tirent dans l’autre. Les tendons situés entre les deux sont comme écartelées. On parle de contraction excentrique pour décrire ce processus de freinage. Pour faire plus simple je vous poste une vidéo explicative merci à PrépaetPerformance un bon résumé précis, il accompagne le tout avec le protocole de Stanish en pièce jointe.  Merci</p>
<p>&nbsp;</p>
<p><iframe width="560" height="314" src="//www.youtube.com/embed/DgVpNbMBbLk" allowfullscreen="allowfullscreen"></iframe></p>
<p style="text-align: center;"><span style="color: #ff6600; font-size: 18pt;">Les effets de ce travail excentrique sont :</span></p>
<blockquote><p><span style="color: #ff6600; font-size: 14pt;">– augmenter  la cicatrisation par stimulation de la prolifération des fibroblastes, à l’origine de la synthèse collagénique type I .</span></p>
<p>&nbsp;</p>
<p><span style="color: #ff6600; font-size: 14pt;">– d&#8217;améliorer l’alignement des fibres de collagène .</span></p>
<p>&nbsp;</p>
<p><span style="color: #ff6600; font-size: 14pt;">– d&#8217;amplifier la résistance tendineuse par une meilleure adaptation aux contraintes d’étirements.</span></p></blockquote>
<p>Chaque exercice de freinage comporte 3 séries de 10 répétitions.</p>
<h6 style="text-align: center;"><em><span style="color: #ff6600;">La douleur n’est pas un obstacle à la séance au contraire. Elle fait partie du protocole mais doit respecter quelques règles :</span></em></h6>
<ol>
<li>S&#8217;il n’y a pas de douleur provoquée par la séance, il n’y aura pas de bénéfice pour le tendon.</li>
<li>la douleur est présente pendant les 3 séries, le travail est trop important pour le tendon.</li>
<li>Si le programme est fait correctement, la douleur ne doit apparaître que dans la dernière série de l’exercice.</li>
</ol>
<p>le traitement ostéopathique et posturologique &#8211; on parle souvent de surmenage mais sans déséquilibre pourquoi la mécanique flanche? Allez voir l&#8217;ostéo, faite une étude posturale dans le but aussi d&#8217;éviter les récidives.</p>
<blockquote><p>Plus récemment, des recherches ont démontré l&#8217;importance d&#8217;inclure également la phase concentrique d&#8217;exercices avec un entraînement de résistance lent et lourd (<a href="https://www.kinesport.info/Tendinopathie-et-Protocole-HSR-Heavy-Slow-Resistance_a4681.html"><em>Heavy Slow Resistance</em><span> (HSR)</span></a>).  Le HSR  se fait généralement 2-3 fois par semaine, mais dans de nombreux cas, il faudra avoir accès à l&#8217;équipement de gym.</p></blockquote>
<p>Ne vous lancez pas seul sur ces renforcements musculaires. Faites vous conseiller par un professionnel (Kiné)</p>
<p>&nbsp;</p>
<p>&nbsp;</p>
<h3 style="text-align: center;"><span style="color: #ff0000; font-size: 36pt;"><em>G- Et pourquoi pas appliquer le Kinesiotape</em></span></h3>
<blockquote><p>je vous rappelle, <a href="https://commentposeruntape.fr/mais-alors-quelles-sont-ses-proprietes/">le Kinésiotape</a> ou tape neuro-proprioceptif est un complément thérapeutique et j&#8217;insiste sur le mot complément. Il vous accompagne lors de votre traitement, la reprise du sport et dans la vie de tous les jours. N&#8217;oubliez pas.</p></blockquote>
<p>Les applications à utiliser sur le tendons sont:</p>
<ul>
<li>drainante</li>
<li>correctrice (Fascia et tendon)</li>
<li>antalgique</li>
<li>musculaire</li>
</ul>
<p><span style="color: #ff6600;">L&#8217;article est là, avant tout, pour vous faire comprendre le mécanisme d&#8217;action correctrice du Tape sur les tendons. La correction tendineuse est appliquée sur le tendon et la jonction myotendineuse dans le but:</span></p>
<ul>
<li><span style="color: #ff6600;"> d’accroître la stimulation des organes tendineux de Golgi et d&#8217;être, pour d&#8217;autre, </span></li>
</ul>
<ul>
<li><span style="color: #ff6600;">d&#8217;être un rappel proprioceptif, conscient ou inconscient, de l&#8217;allongement . </span></li>
</ul>
<p>&nbsp;</p>
<blockquote><p><span style="color: #ff6600;">Les organes tendineux de Golgi sont des mécanorécepteurs proprioceptifs</span>. Ils sont spécifiquement sensibles à la tension (contraction) du muscle (pas à la longueur du muscle).<span style="color: #ff6600;"> Ils permettent le relâchement musculaire lors d’une contraction trop intense</span>. Ils codent et informent donc du degré de force musculaire mis en place. il est important de noter que moins de 10 % des récepteurs Golgi se trouvent dans les tendons. Les 90 % restants se situent dans les parties musculaires des jonctions myotendineuses. L<span>es organes tendineux de Golgi peuvent <span style="color: #ff6600;">être activés à la fois lors d&#8217;un étirement passif du muscle</span></span></p></blockquote>
<ul style="list-style-type: circle;"></ul>
<p>De façon schématique si un muscle, par exemple le biceps, se contracte trop fort, les récepteurs tendineux de Golgi, vont exciter des interneurones (type Béta). Ces derniers vont inhiber (relâcher) le  muscle (où est situé le récepteur) et activer (contracter) le muscle antagoniste, le triceps, pour décontracter le biceps et éviter un claquage !</p>
<p><span style="color: #ff6600;">En conclusion ce circuit réflexe régule la tension musculaire en présences de forces excessives. Ils permettent l&#8217;inhibition des tensions c&#8217;est-à-dire qu&#8217;ils provoquent le relâchement et l&#8217;allongement du muscle en réponse à sa contraction inappropriée.<a id="Video"></a></span></p>
<p>&nbsp;</p>
<h5 style="text-align: center;">Voyons maintenant les techniques de pose où comment le tape va stimuler les organes tendineux de Golgi.</h5>
<p>&nbsp;</p>
<p>&nbsp;</p>
<p><iframe width="560" height="314" src="//www.youtube.com/embed/0ls8xNCFdfE" allowfullscreen="allowfullscreen"></iframe></p>
<p>&nbsp;</p>
<p>&nbsp;</p>
<p>Comme vous l&#8217;avez compris nous utiliserons une tension d&#8217;étirement comprise entre 50 et 75% (voir 100% selon certaines formations et c&#8217;est celle que je préfère) appliquée sur le tendon et la jonction myotendineuse pour stimuler les organes tendineux de Golgi.</p>
<p>Parfois il sera accompagné par une application musculaire inhibitrice  ou facilitatrice (vidéo n°2 à venir). Pour ma part je préfère différencier la tape musculaire, du tape correcteur appliqué sur le tendon (et non pas le deux en un). Vous comprendrez pourquoi dans la vidéo 2 à venir.</p>
<p>Merci de votre attention et</p>
<blockquote>
<p style="text-align: center;"><span style="color: #ff6600; font-size: 18pt;">N&#8217;oubliez pas notre site vend aussi des Tape de grandes qualités à des <a href="https://commentposeruntape.fr/produit/tmaxtape-5cm-5m-bande-kinesiotape-adjuvant-therapeutique/">prix inférieurs</a> à celui de Déca&#8230;..n, à vous de Voir et surtout à</span><span style="color: #ff6600; font-size: 18pt;"> vous de jouer.</span></p>
</blockquote>
<p>L’article <a href="https://commentposeruntape.fr/les-tendinopathies/">LES APPLICATIONS CORRECTRICES DU TAPE NEURO-PROPRIOCEPTIF SUR LES TENDONS</a> est apparu en premier sur <a href="https://commentposeruntape.fr">Comment poser un Kinesiotape</a>.</p>
]]></content:encoded>
					
					<wfw:commentRss>https://commentposeruntape.fr/les-tendinopathies/feed/</wfw:commentRss>
			<slash:comments>0</slash:comments>
		
		
		<post-id xmlns="com-wordpress:feed-additions:1">34149</post-id>	</item>
		<item>
		<title>LA BURSITE ACHILEENNE</title>
		<link>https://commentposeruntape.fr/la-bursite-achileenne/?utm_source=rss&#038;utm_medium=rss&#038;utm_campaign=la-bursite-achileenne</link>
					<comments>https://commentposeruntape.fr/la-bursite-achileenne/#respond</comments>
		
		<dc:creator><![CDATA[laurent]]></dc:creator>
		<pubDate>Thu, 02 Apr 2020 13:12:10 +0000</pubDate>
				<category><![CDATA[Actualité]]></category>
		<category><![CDATA[Pieds]]></category>
		<guid isPermaLink="false">https://commentposeruntape.fr/?p=34080</guid>

					<description><![CDATA[<p>Je présente une douleur au niveau de l&#8217;insertion du tendon d&#8217;Achille depuis 10 jours suite à une sortie longue de running. Je viens de changer de chaussures et on me parle de bursite Achiléenne. C&#8217;est quoi ? Peut-on appliquer des Kinésiotape dessus ? Merci Michel pour ta question. Dis moi [&#8230;]</p>
<p>L’article <a href="https://commentposeruntape.fr/la-bursite-achileenne/">LA BURSITE ACHILEENNE</a> est apparu en premier sur <a href="https://commentposeruntape.fr">Comment poser un Kinesiotape</a>.</p>
]]></description>
										<content:encoded><![CDATA[<p>Je présente une douleur au niveau de l&#8217;insertion du tendon d&#8217;Achille depuis 10 jours suite à une sortie longue de running. Je viens de changer de chaussures et on me parle de bursite Achiléenne. C&#8217;est quoi ? Peut-on appliquer des Kinésiotape dessus ?</p>
<p>Merci Michel pour ta question. Dis moi si la réponse te convient</p>
<p>&nbsp;</p>
<p style="text-align: center;">SOMMAIRE<a id="Rappels"></a></p>
<p style="text-align: center;"><a href="https://commentposeruntape.fr/la-bursite-achileenne/#Rappels">1- Rappels anatomiques</a></p>
<p style="text-align: center;"><a href="https://commentposeruntape.fr/la-bursite-achileenne/#Symptomes">2- Les symptômes de la bursite</a></p>
<p style="text-align: center;"><a href="https://commentposeruntape.fr/la-bursite-achileenne/#Causes">3-Les causes de l&#8217;inflammation</a></p>
<p style="text-align: center;"><a href="https://commentposeruntape.fr/la-bursite-achileenne/#Diagnostics">4-Les Diagnostics pour ne pas se tromper</a></p>
<p style="text-align: center;"><a href="https://commentposeruntape.fr/la-bursite-achileenne/#Traitements">5- Les traitements</a></p>
<p style="text-align: center;"><a href="https://commentposeruntape.fr/la-bursite-achileenne/#Les">6- Les applications de Tape</a></p>
<p>&nbsp;</p>
<h5>1- Rappels anatomiques</h5>
<p><img decoding="async" src="https://commentposeruntape.fr/wp-content/uploads/2020/04/bursite-achileenne-300x187.jpg" alt="bursite achiléenne" width="443" height="276" class=" wp-image-34101 aligncenter" srcset="https://commentposeruntape.fr/wp-content/uploads/2020/04/bursite-achileenne-300x187.jpg 300w, https://commentposeruntape.fr/wp-content/uploads/2020/04/bursite-achileenne-600x374.jpg 600w, https://commentposeruntape.fr/wp-content/uploads/2020/04/bursite-achileenne.jpg 762w" sizes="(max-width: 443px) 100vw, 443px" /></p>
<p>La bourse séreuse est une cavité fermée en forme de coussin. Elle se constitue de tissus conjonctifs et contient de liquide synovial. Grâce à sa propriété lubrifiante, la bourse séreuse permet de faciliter les glissements du tendon entre la peau et le calcanéum.</p>
<p>A ce niveau du tendon d’Achille, il en existe deux, juste au-dessus de l’insertion basse du tendon d’Achille. :</p>
<ul>
<li>la première en avant du tendon (en profondeur) : c’est la bourse rétro-malléolaire ou antérieur, elle se positionne entre le calcanéum et le tendon d’Achille</li>
<li>la deuxième Postérieure (près de la surface) : c’est la bourse subcutanée calcanéenne, elle se positionne entre la peau et le tendon d&#8217;Achille. On parle de bursite postérieure du tendon d’Achille</li>
</ul>
<p>&nbsp;</p>
<p style="text-align: center;"><span style="color: #ff6600;">A signaler, la bourse séreuse réduit la friction, l’échauffement, et l’érosion dus aux mouvements de l&#8217;articulation, en plus de lubrifier les structures voisines. <a id="Symptomes"></a>L&#8217;inflammation de cette structure forme la bursite</span>.</p>
<p>&nbsp;</p>
<h5>2- Les symptômes sont au nombre de trois</h5>
<p><span style="color: #ff6600;"><em>Inflammation &#8211; Douleurs &#8211; Raideur (- parfois rougeur)</em></span></p>
<p>&nbsp;</p>
<p>l&#8217;inflammation s&#8217;accompagne généralement d&#8217;un œdème (gonflement). Elle se caractérise par des douleurs aiguës (à l&#8217;occasion vive), parfois d&#8217;une rougeur. Tout ceux ci est la conséquence d&#8217;une hypersecrétion liquidienne exerçant une pression sur la zone. Elle provoque ainsi par pression des récepteurs  ou nocicepteurs, une douleur. Le mouvement rend le tout douloureux.</p>
<p>&nbsp;</p>
<p style="text-align: center;"><span style="color: #ff6600;">Malheureusement la bursite est souvent présente simultanément avec une tendinite du tendon d’Achille, augmentant l&#8217;incapacité fonctionnelle et son délai de cicatrisation.</span></p>
<p>la cicatrisation est rendue difficile quand elle s&#8217;accompagne d&#8217;une tendinite, par la nature avasculaire (ou dépourvu de vaisseaux sanguins) du tendon.<a id="Causes"></a></p>
<p>&nbsp;</p>
<h5><span style="font-size: 18pt;">3- Les causes de l&#8217;inflammation</span></h5>
<p>&nbsp;</p>
<p>Différents facteurs sont susceptibles de déclencher une bursite.</p>
<p>On dénombre cinq causes principales :</p>
<p>A- <span style="color: #ff6600;">L&#8217;impact direct</span>, un coup, une sorte de contusion profonde avec inflammation et douleur vive. L’évolution est généralement de courte durée avec une résorption quasi spontanée.</p>
<p>B- <span style="color: #ff6600;">Le surmenage</span> qui peut produire des microtraumatismes résultant d’efforts répétitifs ou de compressions continues (chaussures neuves) directement sur la bourse séreuse</p>
<p>C- <span style="color: #ff6600;">Les dysfonctionnements articulaires</span>, vertébrales et/ou pelviens, qui induisent des contractures réflexes sur les muscles. De ces contractures en découlent une anarchie articulaire, et une augmentation de la friction devenant ainsi  des facteurs de risque non négligeables pour la bursite.</p>
<p>D- <span style="color: #ff6600;">La polyarthrite rhumatoïde et la goutte</span>, deux pathologies inflammatoires.</p>
<p>E- <span style="color: #ff6600;">L&#8217;infection cutanée</span>, causée par des bactéries (bursite septique) à proximité de la surface de la peau. Avez vous récemment subi une blessure ou une infection qui a rompu la barrière protectrice de votre peau ?</p>
<p>&nbsp;</p>
<p style="text-align: center;"><span style="color: #ff6600;">Ceci dit, en absence de signe d’infection (ex. fièvre, chaleur localisée), la persistance ou la récurrence d’une bursite signale fréquemment la présence d’une dysfonction vertébrale ou pelvienne.<a id="Diagnostics"></a></span></p>
<p>&nbsp;</p>
<p>&nbsp;</p>
<h5>4- Un diagnostic pour ne pas se tromper</h5>
<p>&nbsp;</p>
<p>la douleur après une apparition brutale doit s’atténuer au bout de 8 jours. Dans le cas contraire, un diagnostic devra être mis en place afin d&#8217;éliminer un certains nombres de pathologies associées.</p>
<p><span style="color: #ff6600;">Le premier diagnostic</span> médical est généralement <span style="color: #ff6600;">visuel</span>: œdème , rougeur.</p>
<p><span style="color: #ff6600;">le deuxième</span> bilan est souvent <span style="color: #ff6600;">palpatoire</span>  douleur (de pressions et mécanique avec mouvement sensible), chaleur?</p>
<p><strong>les autres moyens qui peuvent être mis en place sont:</strong></p>
<p><span style="color: #ff6600;"><em>*l&#8217;échographie</em></span><br />
sommes nous en présence d&#8217;une bursite postérieure/antérieure? une tendinite accompagne t-elle la bursite?</p>
<p><span style="color: #ff6600;"><em>*la radiologie et l&#8217;IRM</em></span><br />
existe t-il un conflit articulaire ( présence de <a href="https://fr.wikipedia.org/wiki/Liquide_synovial">synovial</a>)?</p>
<p>La cause n&#8217;est elle pas morphologique avec la présence de la <a href="https://www.irbms.com/football-et-maladie-dhaglund/">maladie Haglund</a> ?</p>
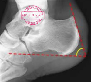
<p>Il semble nécessaire de mesurer et d’évaluer la verticalisation du calcanéum et/ou l&#8217;importance de la proéminence (l&#8217;angle de Fowler et Philip, l&#8217;angle de Chauvaux et Liet) par rapport à l&#8217;insertion du tendon d&#8217;Achille.</p>
<p>&nbsp;</p>
<p><img decoding="async" src="https://commentposeruntape.fr/wp-content/uploads/2020/04/Screenshot_20200329_140806-300x269.jpg" alt="maladie de haglund" width="300" height="269" class="size-medium wp-image-34109 aligncenter" srcset="https://commentposeruntape.fr/wp-content/uploads/2020/04/Screenshot_20200329_140806-300x269.jpg 300w, https://commentposeruntape.fr/wp-content/uploads/2020/04/Screenshot_20200329_140806.jpg 600w" sizes="(max-width: 300px) 100vw, 300px" /></p>
<p style="text-align: center;">La &#8220;normalité&#8221; se situe entre un angle de 60° et 75</p>
<p><span style="color: #ff6600;"><em>*l&#8217;analyse liquidienne et sanguine</em></span><br />
s&#8217;agit il d&#8217;une bursite septique ou inflammatoire (comme dans la polyarthrite rhumatoïde ou la goutte).<a id="Traitements"></a></p>
<p>&nbsp;</p>
<p>&nbsp;</p>
<h5>5- les traitements devront être appropriés aux diagnostics</h5>
<p>&nbsp;</p>
<p style="text-align: center;"><span style="color: #ff6600;">La majorité des cas de bursite se soignent très bien. L&#8217;utilisation de glace permet de réduire le niveau de l&#8217;inflammation, d&#8217;atténuer les douleurs et de dégonfler la zone concernée. Afin d&#8217;atténuer la douleur, des antidouleurs et des Anti Inflammatoires Non Stéroïdiens (AINS) peuvent également être prescrits par le corps médical       </span><span style="color: #ff6600;"></span><span style="color: #ff6600;">(pas automédication).</span></p>
<p>&nbsp;</p>
<p>Des antibiotiques sont mis en place dans le cadre d&#8217;une bursite septique.</p>
<p>Dans le cadre d&#8217;une bursite non infectieuse il est courant de recourir à l’injection de corticoïdes.</p>
<p>En présence d&#8217;une bursite de type maladie Haglund il est inéluctable, si les signes cliniques n&#8217;évoluent pas, d&#8217;arriver à une intervention chirurgicale.</p>
<p>Dans le cadre d&#8217;une bursite postérieure il faut soulager la pression, l&#8217;irritation de la chaussure par exemple (protection feutre ou coussinet en gel).</p>
<p>Dans le cadre d&#8217;une bursite antérieure ou rétromalléolaire souvent associée à une tendinite Achiléenne, le premier traitement, bien évidement accompagné de repos, est celui de l&#8217;ostéopathie. <span style="color: #ff6600;">&#8220;Il n&#8217;y a jamais de fumée sans feu&#8221;</span>, et pour moi, un déséquilibre articulaire n&#8217;est que la cause. Sans ce travail, la situation ne peut évoluer.</p>
<p>De la kinésithérapie peut être associée, à viser antalgique, pour soulager les signes cliniques (œdème &#8211; tendinite) et accompagné l&#8217;harmonisation musculaire au maintien articulaire (un déficit fessier peut être responsable d&#8217;un déséquilibre pelvien).<a id="Les"></a></p>
<p>&nbsp;</p>
<p>&nbsp;</p>
<h5>6- maintenant on tape</h5>
<p>&nbsp;</p>
<p style="text-align: center;"><span style="color: #ff6600;">Toujours considéré comme un complément thérapeutique le Kinésiotape par ses propriétés ici drainantes et antalgiques va vous accompagner et agir tout le temps de  l&#8217;application.</span></p>
<p>&nbsp;</p>
<ul>
<li><span style="color: #ff6600;"> </span>J&#8217;attends souvent 72h avant de l&#8217;appliquer. rappelez vous que tout traumatisme à besoin d&#8217;une période de prolifération inflammatoire. En effet le reconstitution cellulaire nécessite ce laps de temps.</li>
<li>Autre situation qui  me pousse à attendre 72h est la posibilité d&#8217;un saignement interne qui serait aggravé par l&#8217;application du tape (cf article contre</li>
</ul>
<p>&nbsp;</p>
<p>1- Kinésiotape à visée drainant</p>
<p><img loading="lazy" decoding="async" src="https://commentposeruntape.fr/wp-content/uploads/2020/04/tape-drainant-bursite-2-300x151.jpg" alt="tape drainant bursite" width="391" height="197" class=" wp-image-34106 aligncenter" srcset="https://commentposeruntape.fr/wp-content/uploads/2020/04/tape-drainant-bursite-2-300x151.jpg 300w, https://commentposeruntape.fr/wp-content/uploads/2020/04/tape-drainant-bursite-2.jpg 600w" sizes="(max-width: 391px) 100vw, 391px" /></p>
<p>a- utilisation de 2 Kinésiotape en évantail</p>
<p>b- Je place l&#8217;ancre initial 10 cm au dessus de la zone inflammatoire avec 0% de tension d&#8217;étirement. Je déroule ensuite les 4 fans avec 0 à 20% de tension d&#8217;étirement</p>
<p><span style="color: #ff6600;">on recommence la même application pour le deuxième Tape</span></p>
<p>&nbsp;</p>
<p>2- Kinésiotaape à visée antalgique</p>
<p><img loading="lazy" decoding="async" src="https://commentposeruntape.fr/wp-content/uploads/2020/04/31032020-SAM_0040-300x300.jpg" alt="tape antalgique sur bursite" width="300" height="300" class="size-medium wp-image-34114 aligncenter" srcset="https://commentposeruntape.fr/wp-content/uploads/2020/04/31032020-SAM_0040-300x300.jpg 300w, https://commentposeruntape.fr/wp-content/uploads/2020/04/31032020-SAM_0040-230x230.jpg 230w, https://commentposeruntape.fr/wp-content/uploads/2020/04/31032020-SAM_0040-160x160.jpg 160w, https://commentposeruntape.fr/wp-content/uploads/2020/04/31032020-SAM_0040-600x600.jpg 600w, https://commentposeruntape.fr/wp-content/uploads/2020/04/31032020-SAM_0040-150x150.jpg 150w, https://commentposeruntape.fr/wp-content/uploads/2020/04/31032020-SAM_0040-768x768.jpg 768w, https://commentposeruntape.fr/wp-content/uploads/2020/04/31032020-SAM_0040-460x460.jpg 460w, https://commentposeruntape.fr/wp-content/uploads/2020/04/31032020-SAM_0040.jpg 920w" sizes="(max-width: 300px) 100vw, 300px" /></p>
<p>a- utilisation d&#8217;un voir 2 tape en i (1/2 de large)</p>
<p>b- Je déchire le Kinésiotape en son centre et je tracte à 100% la partie centrale, puis positionnez le sur la zone douloureuse. Je frotte pour activer la colle. Puis en retirant de part et d&#8217;autre le papier je place les 2 ancres (0% de tension d&#8217;étirement) de chaque côté. Un deuxième  Kinésiotape peut être appliqué de la même façon. Le tout forme une croix de 45° d&#8217;angle .</p>
<p>&nbsp;</p>
<p>&nbsp;</p>
<p style="text-align: center;"><span style="color: #ff6600; font-size: 18pt;">Je recommande ces applications pour une bursite &#8220;simple&#8221; antérieur et/ou postérieur sans tendinite. Dans un prochain article je vous exposerai les techniques de pose sur le tendon d&#8217;achille d&#8217;un kinésiotape.</span></p>
<p>&nbsp;</p>
<p style="text-align: center;"><span style="font-size: 18pt;">À VOUS DE TESTER LE KINESIOTAPE</span></p>
<p>&nbsp;</p>
<p>L’article <a href="https://commentposeruntape.fr/la-bursite-achileenne/">LA BURSITE ACHILEENNE</a> est apparu en premier sur <a href="https://commentposeruntape.fr">Comment poser un Kinesiotape</a>.</p>
]]></content:encoded>
					
					<wfw:commentRss>https://commentposeruntape.fr/la-bursite-achileenne/feed/</wfw:commentRss>
			<slash:comments>0</slash:comments>
		
		
		<post-id xmlns="com-wordpress:feed-additions:1">34080</post-id>	</item>
		<item>
		<title>LES APPLICATIONS CORRECTRICES DU KINESIOTAPE SUR LES FASCIAS</title>
		<link>https://commentposeruntape.fr/kinesiotape/?utm_source=rss&#038;utm_medium=rss&#038;utm_campaign=kinesiotape</link>
					<comments>https://commentposeruntape.fr/kinesiotape/#respond</comments>
		
		<dc:creator><![CDATA[laurent]]></dc:creator>
		<pubDate>Fri, 27 Mar 2020 14:47:47 +0000</pubDate>
				<category><![CDATA[Actualité]]></category>
		<guid isPermaLink="false">https://commentposeruntape.fr/?p=34002</guid>

					<description><![CDATA[<p>Les propriétés mécaniques du kinésiotape vont vous étonner. Le kinésiotape a pour particularité de fournir des techniques d&#8217;applications correctrices. Ces corrections peuvent être appliquées au niveau: articulaires  ligamentaires et tendineux tissus conjonctifs ou fascias _______________________________________________ Nous utiliserons les qualités élastiques de ce tissu en coton pour déterminer une action précise. [&#8230;]</p>
<p>L’article <a href="https://commentposeruntape.fr/kinesiotape/">LES APPLICATIONS CORRECTRICES DU KINESIOTAPE SUR LES FASCIAS</a> est apparu en premier sur <a href="https://commentposeruntape.fr">Comment poser un Kinesiotape</a>.</p>
]]></description>
										<content:encoded><![CDATA[<p>Les propriétés mécaniques du kinésiotape vont vous étonner. Le kinésiotape a pour particularité de fournir des techniques d&#8217;applications correctrices.</p>
<p style="text-align: center;">Ces corrections peuvent être appliquées au niveau:</p>
<ul>
<li style="list-style-type: none;">
<ul>
<li style="list-style-type: none;">
<ul>
<li style="text-align: left;">articulaires</li>
<li style="text-align: left;"> ligamentaires et tendineux</li>
<li style="text-align: left;">tissus conjonctifs ou fascias</li>
</ul>
</li>
</ul>
</li>
</ul>
<p style="text-align: left;">_______________________________________________</p>
<p style="text-align: center;"><span style="color: #ff6600; font-size: 18pt;"><strong><em>Nous utiliserons les qualités élastiques de ce tissu en coton pour déterminer une action précise.</em></strong></span></p>
<p style="text-align: center;">_______________________________________________</p>
<h2 style="text-align: center;"><span style="font-size: 24pt;"><em><strong>Episode 1 :</strong></em></span></h2>
<h2 style="text-align: center;"><span style="font-size: 24pt;"><em><strong> on commence par la correction des Fascias</strong></em></span></h2>
<p>&nbsp;</p>
<p>Petits Rappels</p>
<p>le Fascia se compose:</p>
<ul>
<li style="text-align: left;"> D’<strong>eau</strong> qui représente plus de 60 % du poids des fascias et des muscles.</li>
<li style="text-align: left;">De <strong>collagène,</strong> une protéine qui confère cohésion et solidité aux tissus et   <a href="https://fr.wikipedia.org/wiki/Collag%C3%A8ne">&#8220;une résistance mécanique au étirement&#8221;</a>.</li>
<li style="text-align: left;">D’<strong>élastine, </strong>une protéine responsable de l&#8217;élasticité des tissus, leur                   permettant de reprendre leur forme originelle après étirement.</li>
<li style="text-align: left;">Des <strong>protéoglycanes,</strong> sortes d’éponges qui gardent l’eau dans les fascias afin de les maintenir souples.</li>
</ul>
<p>De cette composition le Fascia va fournir de fortes propriétés. Certains considèrent le Fascia principalement comme un élément structurel d’attache et d’enveloppement.</p>
<ul>
<li>Mais finalement l&#8217;une des premières fonctions est de transmettre les contraintes mécaniques. Il est capable non seulement d&#8217;accompagner mais aussi de prévenir les structures autours (muscles antagonistes compris).</li>
</ul>
<p><strong>Le Dr. Guimberteau a mis en évidence l&#8217;existence d&#8217;un réseau fibrillaire. Ce réseau ininterrompu relie la surface de la peau aux zones les plus profondes du corps. Cette architecture est conçue pour accorder une mobilité interne maximale de tous les organes. Au final le Fascia peut et doit se déformer dans toutes les directions.</strong></p>
<p>&nbsp;</p>
<p><span style="font-size: 18pt;"><em><strong><span style="color: #ff6600;">*  Prenez un peu de temps le reportage est très instructif</span></strong></em></span></p>
<p><iframe width="560" height="314" src="//www.youtube.com/embed/pVRzBosOZ5s" allowfullscreen="allowfullscreen"></iframe></p>
<p style="text-align: right;"><span style="font-size: 18pt;"><em><strong><span style="color: #ff6600;">Ça vous a plu ???</span></strong></em></span></p>
<ul>
<li>
<h3><strong><span style="font-size: 14pt;">En second, le Fascia  possède de fortes capacités sensitives</span>.</strong></h3>
</li>
</ul>
<p>On retrouve des terminaisons libres et des capteurs sensoriels (Golgi, Paccini et Ruffini) au sein du Fascia. Les récepteurs intra-fasciaux, d&#8217;après certaines études, assurent la majeure partie de la proprioception (<a href="https://tonsser.com/fr/blog/nextgen/la-proprioception-quest-ce-que-cest?inapp=true">réponse à une déstabilisation</a>). Le fascia devient &#8220;l&#8217;organe le plus sensoriel&#8221;.</p>
<p>La stimulation des nocicepteurs (récepteurs sensoriels de la douleur) est l&#8217;autre capacité sensitive du Fascia. Il fait naître un message nerveux. Ce message passe d&#8217;abord par le bulbe ou la moelle épinière. Il  déclenche ainsi un réflexe de sauvegarde de l&#8217;intégrité physique (réflexe défensif, réflexe court),  avant d&#8217;être relayé jusqu’au cerveau où il sera interprété (intégration, modulation, habituation).  Le tout entraînera alors une réponse adaptée.</p>
<ul>
<li>
<h3><strong><span style="font-size: 14pt;">La Troisième fonction du Fascia est hydratante</span></strong></h3>
</li>
</ul>
<p><span style="font-size: 14pt;"></span>L&#8217;acide hyaluronique présent dans le Fascia est crucial dans la gestion de l&#8217;activité musculaire. Un déséquilibre Hydrique peut  créer une raideur ou activer le système nociceptif (les douleurs)<span style="font-family: Merriweather; font-size: 18px;"> . </span><span style="font-size: 14pt;">Le Fascia hydrate donc le muscle</span><span style="font-family: Merriweather; font-size: 18px;">.</span></p>
<ul>
<li>
<h3><span style="font-size: 14pt;"><strong>La quatrième fonction du Fascia  est sa capacité de se contracter</strong></span></h3>
</li>
</ul>
<p><span>Le Fascia est capable de se contracter indépendamment du muscle  et d&#8217;avoir une influence sur la dynamique musculaire (une alternance rythmique de contractions et d&#8217;extensions, de tension et de relâchement)</span></p>
<p>&nbsp;</p>
<p>_______________________________________________</p>
<p style="text-align: center;"><em><strong><span style="color: #ff6600; font-size: 18pt;">Avec tout cela on comprend mieux, dès lors, que des tractions superficielles suscitées par le kinésiotaping se répercutent vers la profondeur des tissus.</span></strong></em></p>
<p>_______________________________________________</p>
<p><img loading="lazy" decoding="async" src="https://commentposeruntape.fr/wp-content/uploads/2020/03/effet-kinesiotape-300x182.jpg" alt="effet du kinésiotape" width="565" height="343" class="wp-image-34017 aligncenter" srcset="https://commentposeruntape.fr/wp-content/uploads/2020/03/effet-kinesiotape-300x182.jpg 300w, https://commentposeruntape.fr/wp-content/uploads/2020/03/effet-kinesiotape-600x364.jpg 600w, https://commentposeruntape.fr/wp-content/uploads/2020/03/effet-kinesiotape-768x466.jpg 768w, https://commentposeruntape.fr/wp-content/uploads/2020/03/effet-kinesiotape.jpg 1019w" sizes="(max-width: 565px) 100vw, 565px" /></p>
<p>&nbsp;</p>
<p style="text-align: center;"><em><span style="font-size: 18pt;"><strong>et maintenant on Tape p</strong><strong>our mobiliser les Fascias. </strong></span></em></p>
<p><span>Les « adhérences »  surviennent lorsque les Fascias perdent de leur élasticité, soit sous l’effet de mauvaises positions, soit lors d&#8217;un traumatisme ou d&#8217;un stress. La diminution du glissement des structures entraîne une altération de la vascularisation et des apports liquidiens. Cela peut provoquer des douleurs aiguës, voire chroniques, des crampes musculaires, de la fatigue, etc…</span></p>
<p>&nbsp;</p>
<p>_______________________________________________</p>
<p style="text-align: center;"><strong>Deux méthodes peuvent être appliquées et les résultats seront différents</strong></p>
<p style="text-align: center;"><strong>*avec une tension &lt; 50%</strong>                       ou                  <strong>*avec une tension &gt; 50%</strong></p>
<p style="text-align: center;">le fascia superficiel est sélectionné                         le fascia profond est sélectionné</p>
<p>_______________________________________________</p>
<p>&nbsp;</p>
<p style="text-align: center;"><span style="font-size: 18pt;"><strong><em><span style="color: #ff6600;">Je vous montre dans la vidéo suivante, comment tester les Fascias. Nous verrons ensemble dans quel sens le tape va travailler en fonction de la tension exercée et quelle technique à appliquer.</span></em></strong></span></p>
<p><iframe width="560" height="314" src="//www.youtube.com/embed/2izyg3d-yc0" allowfullscreen="allowfullscreen"></iframe></p>
<p>&nbsp;</p>
<p style="text-align: center;">L&#8217;idée et la finalité sont de retrouver l&#8217;harmonie des glissements. D&#8217;autres moyens sont de plus en plus utilisés par nos sportifs mais le kinésiotape est celui qui vous suit toute la journée et qui travaille dès que vous bougez.</p>
<p><img loading="lazy" decoding="async" src="https://commentposeruntape.fr/wp-content/uploads/2020/03/Fascia-massage-300x162.jpg" alt="massage fascia" width="300" height="162" class="alignnone size-medium wp-image-34023 aligncenter" srcset="https://commentposeruntape.fr/wp-content/uploads/2020/03/Fascia-massage-300x162.jpg 300w, https://commentposeruntape.fr/wp-content/uploads/2020/03/Fascia-massage-600x323.jpg 600w, https://commentposeruntape.fr/wp-content/uploads/2020/03/Fascia-massage-1024x552.jpg 1024w, https://commentposeruntape.fr/wp-content/uploads/2020/03/Fascia-massage-768x414.jpg 768w, https://commentposeruntape.fr/wp-content/uploads/2020/03/Fascia-massage-1536x827.jpg 1536w, https://commentposeruntape.fr/wp-content/uploads/2020/03/Fascia-massage-2048x1103.jpg 2048w" sizes="(max-width: 300px) 100vw, 300px" /></p>
<p style="text-align: center;"><em><strong><span style="color: #ff6600; font-size: 18pt;">A vous de tester maintenant le kinésiotape</span></strong></em></p>
<p>&nbsp;</p>
<p>L’article <a href="https://commentposeruntape.fr/kinesiotape/">LES APPLICATIONS CORRECTRICES DU KINESIOTAPE SUR LES FASCIAS</a> est apparu en premier sur <a href="https://commentposeruntape.fr">Comment poser un Kinesiotape</a>.</p>
]]></content:encoded>
					
					<wfw:commentRss>https://commentposeruntape.fr/kinesiotape/feed/</wfw:commentRss>
			<slash:comments>0</slash:comments>
		
		
		<post-id xmlns="com-wordpress:feed-additions:1">34002</post-id>	</item>
		<item>
		<title>KINÉSIO TAPING SUR PIEDS PLATS,       UNE AIDE PAS UN TRAITEMENT</title>
		<link>https://commentposeruntape.fr/kinesio-taping/?utm_source=rss&#038;utm_medium=rss&#038;utm_campaign=kinesio-taping</link>
					<comments>https://commentposeruntape.fr/kinesio-taping/#respond</comments>
		
		<dc:creator><![CDATA[laurent]]></dc:creator>
		<pubDate>Sun, 12 Jan 2020 18:01:57 +0000</pubDate>
				<category><![CDATA[Pieds]]></category>
		<guid isPermaLink="false">https://commentposeruntape.fr/?p=33276</guid>

					<description><![CDATA[<p>&#160; Le pied plat ou pied plat valgus est une déformation du pied fréquente, qui est généralement progressive avec le temps. Il s&#8217;agit d&#8217;une déformation en valgus de l’arrière-pied (figure 1), d&#8217;un affaissement de l’arche longitudinale médiale (axe BC et AC figure 2) et transversale (axe AB figure 2) de [&#8230;]</p>
<p>L’article <a href="https://commentposeruntape.fr/kinesio-taping/">KINÉSIO TAPING SUR PIEDS PLATS,       UNE AIDE PAS UN TRAITEMENT</a> est apparu en premier sur <a href="https://commentposeruntape.fr">Comment poser un Kinesiotape</a>.</p>
]]></description>
										<content:encoded><![CDATA[<p>&nbsp;</p>
<p>Le pied plat ou pied plat valgus est une déformation du pied fréquente, qui est généralement progressive avec le temps.<br />
Il s&#8217;agit d&#8217;une déformation en valgus de l’arrière-pied (figure 1), d&#8217;un affaissement de l’arche longitudinale médiale (axe BC et AC figure 2) et transversale (axe AB figure 2) de l’avant-pied. Tout cela se caractérise par une augmentation de l&#8217;empreinte au sol et <a href="https://commentposeruntape.fr/un-tape-une-aponevrose/">une pronation excessive de l&#8217;avant pied</a> (horizontalité du 1er méta).</p>
<p>&nbsp;</p>
<p><a href="https://thion-medical.com/fr/47-valgus-calcaneen"><img loading="lazy" decoding="async" src="https://commentposeruntape.fr/wp-content/uploads/2020/01/Screenshot_20191215_123549-300x169.jpg" alt="" width="300" height="169" class="alignnone size-medium wp-image-33300" srcset="https://commentposeruntape.fr/wp-content/uploads/2020/01/Screenshot_20191215_123549-300x169.jpg 300w, https://commentposeruntape.fr/wp-content/uploads/2020/01/Screenshot_20191215_123549-600x339.jpg 600w, https://commentposeruntape.fr/wp-content/uploads/2020/01/Screenshot_20191215_123549-1024x578.jpg 1024w, https://commentposeruntape.fr/wp-content/uploads/2020/01/Screenshot_20191215_123549-768x434.jpg 768w, https://commentposeruntape.fr/wp-content/uploads/2020/01/Screenshot_20191215_123549.jpg 1080w" sizes="(max-width: 300px) 100vw, 300px" /></a>                    <img loading="lazy" decoding="async" src="https://commentposeruntape.fr/wp-content/uploads/2019/12/Screenshot_20191209_114003-300x171.jpg" alt="" width="300" height="171" class="alignnone size-medium wp-image-32737" srcset="https://commentposeruntape.fr/wp-content/uploads/2019/12/Screenshot_20191209_114003-300x171.jpg 300w, https://commentposeruntape.fr/wp-content/uploads/2019/12/Screenshot_20191209_114003-600x342.jpg 600w, https://commentposeruntape.fr/wp-content/uploads/2019/12/Screenshot_20191209_114003-768x438.jpg 768w, https://commentposeruntape.fr/wp-content/uploads/2019/12/Screenshot_20191209_114003.jpg 1020w" sizes="(max-width: 300px) 100vw, 300px" /></p>
<h2></h2>
<p>&nbsp;</p>
<h2><em><span style="font-size: 18pt;">A- Petits rappels sur les phases du déroulement du pas</span></em></h2>
<p><a href="http://podomarche.be/pages.php?&amp;lang=fr&amp;lien=4&amp;titre=la-complexit%C3%A9-de-la-marche">Elles se déroulent en quatre temps</a></p>
<p><img loading="lazy" decoding="async" src="https://commentposeruntape.fr/wp-content/uploads/2020/01/Screenshot_20200112_155455-300x78.jpg" alt="déroulement du pas" width="300" height="78" class="size-medium wp-image-33298 aligncenter" srcset="https://commentposeruntape.fr/wp-content/uploads/2020/01/Screenshot_20200112_155455-300x78.jpg 300w, https://commentposeruntape.fr/wp-content/uploads/2020/01/Screenshot_20200112_155455-600x156.jpg 600w, https://commentposeruntape.fr/wp-content/uploads/2020/01/Screenshot_20200112_155455-768x199.jpg 768w, https://commentposeruntape.fr/wp-content/uploads/2020/01/Screenshot_20200112_155455.jpg 868w" sizes="(max-width: 300px) 100vw, 300px" /></p>
<p>phase                                         1                2                   3              4</p>
<p>&nbsp;</p>
<p>1.<em> Attaque du talon au sol</em></p>
<p>le pied va atterrir sur le talon alors que la cheville est en légère dorsiflexion. Le contact se fait par le bord postéro-externe du talon (les autres sont non physiologiques/pathologique) puis le reste du pied s’abat sur le sol, la cheville portée passivement en extension.</p>
<p>2. <em>Phase d&#8217;appui maximale</em></p>
<p>durant cette phase, les orteils ne sont pas en pression. Tout le pied repose au sol (empreinte plantaire). Le corps propulsé par l’autre pied passe au dessus puis en avant du pied porteur (extension-flexion). Amortissement par contraction<br />
des tendeurs plantaires.</p>
<p>3. <em>Première impulsion</em><br />
poids passe en avant du pied porteur, les extenseurs (TA) rentre en action pour soulever le talon. L’arche antérieure s’écrase, la voûte s’écrase elle aussi, mais deuxième amortissement des tendeurs plantaires.</p>
<p>4. <em>Propulsion</em></p>
<p>Impulsion du triceps est prolongée grâce à la contraction des FCO (fléchisseur commun des orteils), muscles sésamoïdes et FPGO (fléchisseur propre du gros orteil). En fin de phase, l&#8217;appui se termine uniquement sur le gros orteil. Les tendeurs plantaires restituent la puissance emmagasinée. Le pied quitte le sol alors que l’autre commence à dérouler son pas: période du double appui très bref.</p>
<p>&nbsp;</p>
<p>&nbsp;</p>
<hr />
<p><span style="color: #ff6600;">Après vous avoir décrit les phases du déroulement du pas vous commencez à </span><span style="color: #ff6600;">comprendre les raisons et l’intérêt de soutenir la voûte plantaire même sur un pied physiologique (&#8220;normal&#8221;). Les personnes présentant des pieds plats ne sont pas les  seuls à apprécier le Kinésio-Taping. Les sportifs désireux d&#8217;amplifier la réaction des tendeurs plantaires seront surpris de la restitution rendue par le Taping.</span></p>
<hr />
<h2></h2>
<p>&nbsp;</p>
<h2 style="text-align: left;"><em><span style="font-size: 18pt;">B- Maintenant place aux images  </span></em><span style="font-size: 18pt;">🎬</span></h2>
<p>Dans cette vidéo nous prendront l&#8217;exemple d&#8217;une douleur plantaire sur pied plat. Nous poserons sur l&#8217;aponévrose plantaire deux bandes de Kinésio Taping types tendineux et un tape antalgique appliqué sur le point douloureux.</p>
<p>&nbsp;</p>
<p>&nbsp;</p>
<p><iframe width="560" height="314" src="//www.youtube.com/embed/bf4g0xY98DM" allowfullscreen="allowfullscreen"></iframe></p>
<p>&nbsp;</p>
<p>Cette application de base est d&#8217;une grande efficacité mais trouvera toute sa puissance (Bluffante) accompagnée de deux Kinésio Tape correcteurs fonctionnels. Le premier renforce l&#8217;action supinatrice en accompagnant le transfert d&#8217;appui vers le cinquième métatarse. Le seconde action varisante finalise l&#8217;intention de modifier l’appui talonnier.</p>
<p>A vos ciseaux.</p>
<p><iframe width="560" height="314" src="//www.youtube.com/embed/9p7hwk-wlTw" allowfullscreen="allowfullscreen"></iframe></p>
<p>L’article <a href="https://commentposeruntape.fr/kinesio-taping/">KINÉSIO TAPING SUR PIEDS PLATS,       UNE AIDE PAS UN TRAITEMENT</a> est apparu en premier sur <a href="https://commentposeruntape.fr">Comment poser un Kinesiotape</a>.</p>
]]></content:encoded>
					
					<wfw:commentRss>https://commentposeruntape.fr/kinesio-taping/feed/</wfw:commentRss>
			<slash:comments>0</slash:comments>
		
		
		<post-id xmlns="com-wordpress:feed-additions:1">33276</post-id>	</item>
		<item>
		<title>L&#8217;APONÉVROSE PLANTAIRE ET SI ON LUI METTAIT UN TAPE</title>
		<link>https://commentposeruntape.fr/un-tape-une-aponevrose/?utm_source=rss&#038;utm_medium=rss&#038;utm_campaign=un-tape-une-aponevrose</link>
					<comments>https://commentposeruntape.fr/un-tape-une-aponevrose/#respond</comments>
		
		<dc:creator><![CDATA[laurent]]></dc:creator>
		<pubDate>Mon, 16 Dec 2019 06:20:45 +0000</pubDate>
				<category><![CDATA[Pieds]]></category>
		<guid isPermaLink="false">https://commentposeruntape.fr/?p=32726</guid>

					<description><![CDATA[<p>L&#8217;aponévrose plantaire est une lame fibreuse , qui supporte la voûte plantaire du pied. Elle contribue  à la mise en tension de l’arche plantaire comme une sorte de chambre à air; trop lâche le pied est plat, tendu le pied est creux. De forme triangulaire, elle prend racine en arrière [&#8230;]</p>
<p>L’article <a href="https://commentposeruntape.fr/un-tape-une-aponevrose/">L&#8217;APONÉVROSE PLANTAIRE ET SI ON LUI METTAIT UN TAPE</a> est apparu en premier sur <a href="https://commentposeruntape.fr">Comment poser un Kinesiotape</a>.</p>
]]></description>
										<content:encoded><![CDATA[<h1 style="text-align: center;"></h1>
<p style="padding-left: 40px;">L&#8217;aponévrose plantaire est une lame fibreuse , qui supporte la voûte plantaire du pied. Elle contribue  à la mise en tension de l’arche plantaire comme une sorte de chambre à air; trop lâche le pied est plat, tendu le pied est creux.</p>
<p style="text-align: left;">De forme triangulaire, elle prend racine en arrière sur la tubérosité postérieure du calcanéum et en avant elle se divise en languettes qui vont se fixer sur la base des premières phalanges. Épaisse en arrière, elle s&#8217;amincit progressivement vers l&#8217;avant.</p>
<p><a href="https://www.urquidi-osteopathe-tarnos.fr/l-aponevrosite-plantaire/"><img loading="lazy" decoding="async" src="https://commentposeruntape.fr/wp-content/uploads/2019/12/Screenshot_20191211_215054-237x300.jpg" alt="" width="333" height="422" class="aligncenter wp-image-32825" srcset="https://commentposeruntape.fr/wp-content/uploads/2019/12/Screenshot_20191211_215054-237x300.jpg 237w, https://commentposeruntape.fr/wp-content/uploads/2019/12/Screenshot_20191211_215054-600x761.jpg 600w, https://commentposeruntape.fr/wp-content/uploads/2019/12/Screenshot_20191211_215054-808x1024.jpg 808w, https://commentposeruntape.fr/wp-content/uploads/2019/12/Screenshot_20191211_215054-768x974.jpg 768w, https://commentposeruntape.fr/wp-content/uploads/2019/12/Screenshot_20191211_215054.jpg 949w" sizes="(max-width: 333px) 100vw, 333px" /></a></p>
<p style="text-align: left;">Elle se  divise en trois faisceaux (médial, moyen, latéral). A chaque faisceau correspond un groupe musculaire.</p>
<ul>
<li style="text-align: left;">Le plus important est le faisceau moyen : il recouvre le muscle <span style="color: #ff00ff;">court fléchisseur plantaire</span>.</li>
<li style="text-align: left;">Le faisceau médial recouvre le muscle <span style="color: #ff0000;">adducteur de l’hallux</span> (1er méta).</li>
<li>Le faisceau latéral recouvre le muscle <span style="color: #33cccc;">abducteur du cinquième rayon</span>.</li>
</ul>
<p>le court fléchisseur plantaire, élément actif, assiste la structure fibreuse passive. Ce muscle charnu se situe, au dessus de l’aponévrose, et suit un trajet comparable. Il contribue lui aussi à la mise en tension de l’arche plantaire, il est sollicité en excentrique (éloignement des points d&#8217;insertions) et en pliométrie  lors des réceptions et des impulsions (permettant l&#8217;utilisation de la force élastique des muscles, ainsi que du réflexe myotatique = la contraction d&#8217;un muscle en réponse à son étirement)</p>
<p><img loading="lazy" decoding="async" src="https://commentposeruntape.fr/wp-content/uploads/2019/12/Screenshot_20191209_144708-300x161.jpg" alt="" width="619" height="332" class="wp-image-32828 aligncenter" srcset="https://commentposeruntape.fr/wp-content/uploads/2019/12/Screenshot_20191209_144708-300x161.jpg 300w, https://commentposeruntape.fr/wp-content/uploads/2019/12/Screenshot_20191209_144708-600x322.jpg 600w, https://commentposeruntape.fr/wp-content/uploads/2019/12/Screenshot_20191209_144708-1024x549.jpg 1024w, https://commentposeruntape.fr/wp-content/uploads/2019/12/Screenshot_20191209_144708-768x412.jpg 768w, https://commentposeruntape.fr/wp-content/uploads/2019/12/Screenshot_20191209_144708.jpg 1080w" sizes="(max-width: 619px) 100vw, 619px" /></p>
<p>&nbsp;</p>
<h4><span style="font-size: 14pt;">Pour compléter la description, et pour visualiser les déformations du pieds, la voûte plantaire se compose de 3 arches</span></h4>
<p>&#8211;  A est la tête de M1</p>
<p>&#8211; B est la tête de M5</p>
<p>&#8211; C est la tubérosité postérieure du calcanéum</p>
<p>Par conséquent nous aurons  AB l&#8217;arche antérieur transversale, BC l&#8217;arche externe et AC l&#8217;arche interne (toutes les deux sont des arches longitudinales)</p>
<p>&nbsp;</p>
<p><img loading="lazy" decoding="async" src="https://commentposeruntape.fr/wp-content/uploads/2019/12/Screenshot_20191209_114003-300x171.jpg" alt="l'aponévrose et ses trois arches" width="474" height="270" class="aligncenter wp-image-32737" srcset="https://commentposeruntape.fr/wp-content/uploads/2019/12/Screenshot_20191209_114003-300x171.jpg 300w, https://commentposeruntape.fr/wp-content/uploads/2019/12/Screenshot_20191209_114003-600x342.jpg 600w, https://commentposeruntape.fr/wp-content/uploads/2019/12/Screenshot_20191209_114003-768x438.jpg 768w, https://commentposeruntape.fr/wp-content/uploads/2019/12/Screenshot_20191209_114003.jpg 1020w" sizes="(max-width: 474px) 100vw, 474px" /></p>
<p>&nbsp;</p>
<p><span style="font-size: 18pt;">Et puis, </span>un jour, une intense douleur apparaît lors d&#8217;un entrainement , d&#8217;une réception de saut , d&#8217;une course. Cela arrive aussi pour les non sportifs lors d&#8217;une station debout prolongée, d&#8217;une montée de marche.</p>
<p>La douleur, au départ,  peut-être vive, elle se présente comme une douleur de type mécanique au démarrage de l’action. On la retrouve lors de la mise en charge, au lever ou après une position assise prolongée. Il s’agit d’une douleur talonnière,vive, ressentie lors de l’attaque du talon au sol, qui n’est pas soulagée par la marche sur la pointe du pied. La douleur tend à s’estomper après quelques minutes mais qui peut réapparaître suite aux pressions répétées sous le calcanéum.</p>
<p>C&#8217;est l&#8217;aponévrosite plantaire<em> ou la fascilite plantaire,                                                    </em><em>d&#8217;origine inflammatoire comme la fascilite plantaire ou dégénérative (tendinose, </em>microtraumatismes répétés accentuant le processus normal du vieillissement<em> ). </em></p>
<p><em>⚠️ Elle ne doit pas être confondue avec l&#8217;épine calcanéenne </em>(excroissance de l&#8217;os qui doit s’organiser pour mieux résister au tendon qui  tire = microlésions insertion calcanéenne). S<em>eul le diagnostic pourra définir l&#8217;origine</em></p>
<h2><span style="font-size: 18pt;"><em><strong>mais quels diagnostics?</strong></em></span></h2>
<p>les diagnostics, du ressort du médecin, permettent de définir l&#8217;existence d&#8217;une aponévrosite plantaire sont:</p>
<p>La radiologie, la scintigraphie, l&#8217;échographie, la tomodensitométrie, l&#8217;irm, l&#8217;examen clinique palpatoire.</p>
<p>Le médecin devra réaliser un diagnostic différentiel pour confirmer l&#8217;aponévrosite plantaire et ne pas passer à côté:</p>
<p>d&#8217;une  rupture de l&#8217;aponévrose plantaire (c&#8217;est pas pareil) , d&#8217;une maladie de Ledderhose, d&#8217;une fracture de contrainte du calcanéum, d&#8217;une maladie de Paget, d&#8217;une talalgie par talonnade, d&#8217;une bursite subcalcanéenne, d&#8217;une maladie systémique inflammatoire, d&#8217;une goutte, d&#8217;un diabète, de Neuropathies périphériques, d&#8217;une thrombose de la veine plantaire, d&#8217; une tendinopathie d&#8217;insertion d&#8217;Achille, d&#8217;une ostéochondrose de Sever, d&#8217; un syndrome tronculaire du nerf calcanéen ou d&#8217;une pelvispondylite.</p>
<h2><span style="font-size: 18pt;"><em><span style="font-family: Lora;"><b style="font-size: 18pt;">Existe-t-il des facteurs </b><span style="font-size: 24px;"><b>déclenchants</b></span><b style="font-size: 18pt;"> ?</b></span></em></span></h2>
<p><span style="font-size: 18pt;">OUI ++++</span></p>
<h3 style="text-align: center;"><span style="font-size: 18pt;"><span style="font-size: 24pt;">A-</span><strong><em> <span style="font-size: 14pt;">les facteurs anatomiques</span></em></strong></span></h3>
<ol>
<li>les troubles statistiques comme <strong>le dérèglement de la posture avec antériorisation de la ligne de charge. </strong> Le sujet se tient trop « penché en avant ». Cela entraîne un affaissement du pied (<span style="color: #ff0000;">pied plat</span> ou pied <span style="color: #ff0000;">bloqué en pronation</span>), en raison des muscles du mollet trop court (svt <span style="color: #ff0000;">tendinite tibial postérieur et fibulaire anciennement péroniers</span>). Il en résulte, <span style="color: #ff0000;">un effondrement de l&#8217;arche interne</span>,  une augmentation de la tension dans le fascia plantaire à la mise en charge. Ainsi lors de la marche, la rétraction des muscles du mollet produit à la fois une augmentation de la pronation du pied et s&#8217;accompagne d&#8217;une *éversion du calcanéum. Le tout provoque une augmentation de la flexion dorsale de la première articulation métatarsophalangienne. Par voie de conséquence la flexion dorsale étire le fascia plantaire, dans le cas où le pied reste en pronation lors de la fin de la poussée des orteils. De plus, lors de la marche avec le pied en pronation, l&#8217;avant pied devient plus instable en raison du déblocage de l&#8217;articulation médiotarsienne. L&#8217;effort musculaire supplémentaire des muscles intrinsèques du pied pour compenser cette instabilité augmente le stress sur les insertions sur le calcanéum de ces muscles, ce qui accroît les risques de tendinopathie. Toutes ces informations vont être d&#8217;une grand utilité lors de la rééducation kinésitherapique</li>
<li>En second lieu, le pied creux, quant à lui diminue les capacités du pied à dissiper les forces lors des activités de mise en charge. Le pied creux aggravé d&#8217;un varus calcanéen ou d&#8217;un tendon d&#8217;Achille court ne parvient pas à amortir correctement chaque réception de foulée. Le manque de souplesse fragilise l&#8217;aponévrose . Le pied creux s&#8217;accompagne et s’amplifie par une griffe des orteils.</li>
</ol>
<p>&nbsp;</p>
<p><img loading="lazy" decoding="async" src="https://commentposeruntape.fr/wp-content/uploads/2019/12/Screenshot_20191215_123431-300x159.jpg" alt="" width="706" height="374" class="alignnone wp-image-32807" srcset="https://commentposeruntape.fr/wp-content/uploads/2019/12/Screenshot_20191215_123431-300x159.jpg 300w, https://commentposeruntape.fr/wp-content/uploads/2019/12/Screenshot_20191215_123431-600x318.jpg 600w, https://commentposeruntape.fr/wp-content/uploads/2019/12/Screenshot_20191215_123431-1024x542.jpg 1024w, https://commentposeruntape.fr/wp-content/uploads/2019/12/Screenshot_20191215_123431-768x407.jpg 768w, https://commentposeruntape.fr/wp-content/uploads/2019/12/Screenshot_20191215_123431-1536x813.jpg 1536w, https://commentposeruntape.fr/wp-content/uploads/2019/12/Screenshot_20191215_123431.jpg 1876w" sizes="(max-width: 706px) 100vw, 706px" /></p>
<ol>
<li>Le surpoids</li>
<li>Un mauvais alignement en rotation des membres inférieurs.</li>
<li>Une faiblesse et des contractures des muscles fléchisseurs plantaires ou des muscles intrinsèques du pied.</li>
<li>Une inégalité de longueur des membres inférieurs contribuent aussi aux risques d&#8217;apparition de l&#8217;aponévrosite plantaire.</li>
<li>rétraction du tendon calcanéen, voir de la chaine musculaire  postérieure</li>
<li>raideur des articulations tibio-talienne, sous-talienne, médio- tarsienne ou des articulations du premier rayon</li>
</ol>
<p>&nbsp;</p>
<h3 style="text-align: center;">B- <strong><em><span style="font-size: 18pt;">Les facteurs liés à une pathologie</span></em></strong></h3>
<p>tels que le Diabète,</p>
<p>la Maladie inflammatoire comme la polyarthrite rhumatoïde</p>
<p>&nbsp;</p>
<h3 style="text-align: center;">C- <strong><span style="font-size: 18pt;">Les facteurs de surmenage</span></strong></h3>
<ol>
<li>Chaussures avec un mauvais soutien de la voûte plantaire. Semelles et talons non adaptées, mais aussi des contreforts trop mous qui stabilisent insuffisamment les talons.</li>
<li>Excès de Répétitions, Hypersollicitation, notamment lors de sauts d’impulsion, démarrage rapide et réception sur sols durs ou instables.</li>
<li>Sols inappropriés à la pratique sportive.</li>
</ol>
<ul></ul>
<p>&nbsp;</p>
<p>*R:  &#8211; inversion = adduction + flexion plantaire + supination (rotation interne)</p>
<p>&#8211; éversion = abduction + dorsiflexion + pronation (rotation externe)</p>
<p>-varus calcanéen  / valgus  – les termes varus-valgus sont réservés aux mobilités de l’arrière-pied dans le plan frontal</p>
<p>&nbsp;</p>
<p>&nbsp;</p>
<p><a href="https://thion-medical.com/fr/47-valgus-calcaneen"><img loading="lazy" decoding="async" src="https://commentposeruntape.fr/wp-content/uploads/2019/12/Screenshotbis_20191215_123959-300x85.jpg" alt="" width="740" height="212" class="alignnone wp-image-32810" title="https://thion-medical.com/fr/47-valgus-calcaneen" /></a></p>
<p><a href="https://thion-medical.com/fr/46-pronation-du-pied"><img loading="lazy" decoding="async" src="https://commentposeruntape.fr/wp-content/uploads/2019/12/Screenshotbis_20191215_123959-300x85.jpg" alt="pieds varus/valgus aponévrose" width="739" height="209" class="alignnone wp-image-32810" srcset="https://commentposeruntape.fr/wp-content/uploads/2019/12/Screenshotbis_20191215_123959-300x85.jpg 300w, https://commentposeruntape.fr/wp-content/uploads/2019/12/Screenshotbis_20191215_123959-600x169.jpg 600w, https://commentposeruntape.fr/wp-content/uploads/2019/12/Screenshotbis_20191215_123959-1024x289.jpg 1024w, https://commentposeruntape.fr/wp-content/uploads/2019/12/Screenshotbis_20191215_123959-768x217.jpg 768w, https://commentposeruntape.fr/wp-content/uploads/2019/12/Screenshotbis_20191215_123959-1536x433.jpg 1536w, https://commentposeruntape.fr/wp-content/uploads/2019/12/Screenshotbis_20191215_123959.jpg 2041w" sizes="(max-width: 739px) 100vw, 739px" /></a></p>
<p>-intrinsèques muscles qui naissent au niveau du pied ( /extrinsèques qui naissent au niveau de la jambe)</p>
<h4></h4>
<p>&nbsp;</p>
<h4 style="text-align: center;"><em><strong><span style="font-size: 24pt;">Les traitements</span></strong></em></h4>
<p>En premier lieu, il repose sur le repos relatif<strong> </strong>du pied douloureux (diminution marche et station debout prolongée)  et par la prise en charge pluridisciplinaire. Le traitement consiste dans un premier temps à agir sur les origines du déclenchement de l’aponévrosite plantaire. Chez un sportif, il faut modifier très rapidement l’entraînement en proposant des alternatives comme le vélo et la natation. Il faut bien comprendre que l&#8217;on ne soigne pas une aponévrosite plantaire sur un pied plat de la même façon que sur un pied supinateur&#8230;</p>
<p>&nbsp;</p>
<p>Les anti-inflammatoires non stéroïdiens peuvent être prescrits mais doivent s&#8217;accompagner d&#8217;une prise en charge étiologique. Le traitement médicamenteux  est inutile si l&#8217;aponévrosite est d&#8217;origine dégénérative. Par contre, les antalgiques sont à conseiller dans la période aiguë.</p>
<p>Le premier conseil est de consulter un podologue afin que celui ci après examen vous attribue une talonnette et dans le cas nécessaire, en cas de troubles statiques du pied des orthèses plantaires adaptées. il faut diminuer le stress mécanique</p>
<h4><em><strong>Puis viendra au tour de la rééducation fonctionnelle, avec</strong></em></h4>
<ul>
<li>massage de l&#8217;ensemble du pied  pour lutter contre les adhérences, les contractures musculaires. Les techniques comme le massage transversal profond visent à mécaniser L&#8217;aponevrose, la cicatrice . L&#8217;automassage devra vous être présenté et autoexecutes</li>
<li>la physiothérapie antalgique et anti-inflammatoire avec les ultrasons, l&#8217;électrothérapie antalgique TENS</li>
<li>certains parlerons du crochetage, de ventouses, de <a href="https://www.sfmesotherapie.com/fichiers/memoires/memoires_paris/diu2010/apoplantaires.pdf">mésothérapie</a></li>
<li><strong>les ondes de choc radiales semblent avoir de bons résultat</strong><strong>s</strong></li>
<li>les mobilisations articulaires  afin de rétablir l&#8217;harmonie et la mobilité articulaire.</li>
<li><span style="color: #ff0000;">en fonction du diagnostic, des étirements des muscles hypertendus, du renforcement musculaire des muscles déficients seront nécessaires</span>.  Un autre traitement vise à faire travailler le tendon avec une forte charge de traction afin de stimuler la production de collagène et, en fin de compte, d’accélérer le rétablissement. Déjà efficace sur la tendinopathie achilléenne et patellaire , il me semble important de la tester sur l&#8217;aponévrose plantaire (sur une longue durée 3 mois minimum). Chez les patients atteints de Fascilite plantaire, il est possible d’appliquer une charge sur le tendon d’Achille conjointement avec la flexion dorsale de l’articulation métatarso-phalangienne (mécanisme du treuil) pour  appliquer une grande force de tension sur toute l’aponévrose plantaire</li>
<li><span style="color: #ff0000;">une reprogrammation posturale devra être aussi mise en place pour éviter toute récidive.</span></li>
</ul>
<p>&nbsp;</p>
<h2><em><strong><span style="font-size: 24pt;">mais vous allez me dire on parle quand des Tape.</span></strong></em></h2>
<p>Et bien c&#8217;est le moment. Pour moi l&#8217;application de Tape a une place importante dans ma rééducation. Il est le complément thérapeutique qui nous accompagne en dehors des séances, il bonifie le traitement kinésithérapeutique, &#8220;j&#8217;emmène le Tape chez moi pour plusieurs jours&#8221;.</p>
<h4><em><strong><span style="font-size: 18pt;">Prenons le cas de l&#8217;aponévrosite plantaire sur pied creux</span></strong></em></h4>
<p>comme il a été mentionné le pied creux (sans parler du pied neurologique) est la conséquence de contractures des muscles plantaires et d&#8217;une insuffisance de force des fléchisseurs de cheville (jambier antérieur et péronier antérieur ). Pour agir sur les contractures et sur la douleur aponévrosique je vous propose  la mise en place de deux tape <a href="https://commentposeruntape.fr/applications-tout-savoir-impressionnant/">inhibiteurs</a> musculaires et d&#8217;un tape antalgique à positionner sur zone</p>
<p>on regarde ensemble</p>
<p><iframe width="560" height="314" src="//www.youtube.com/embed/8nPdRxPptaQ" allowfullscreen="allowfullscreen"></iframe></p>
<p>&nbsp;</p>
<p>De cette application initiale et avec un peu de recul j&#8217;ai voulu perfectionné le système. La finalité est de corriger l’exagération de supination de l&#8217;avant pied et la varisation du talon (figure ci dessous) à l&#8217;aide de deux Tape correcteurs articulaires.</p>
<p><a href="https://thion-medical.com/fr/47-valgus-calcaneen"><img loading="lazy" decoding="async" src="https://commentposeruntape.fr/wp-content/uploads/2019/12/Screenshot_20191215_123959-300x167.jpg" alt="" width="300" height="167" class="alignnone size-medium wp-image-32809" srcset="https://commentposeruntape.fr/wp-content/uploads/2019/12/Screenshot_20191215_123959-300x167.jpg 300w, https://commentposeruntape.fr/wp-content/uploads/2019/12/Screenshot_20191215_123959-600x334.jpg 600w, https://commentposeruntape.fr/wp-content/uploads/2019/12/Screenshot_20191215_123959-1024x569.jpg 1024w, https://commentposeruntape.fr/wp-content/uploads/2019/12/Screenshot_20191215_123959-768x427.jpg 768w, https://commentposeruntape.fr/wp-content/uploads/2019/12/Screenshot_20191215_123959.jpg 1036w" sizes="(max-width: 300px) 100vw, 300px" /></a></p>
<p><iframe width="560" height="314" src="//www.youtube.com/embed/SvdCv0IJ3Bo" allowfullscreen="allowfullscreen"></iframe></p>
<p>&nbsp;</p>
<p>&nbsp;</p>
<p>A cette technique et pour en terminer, nous pourrions ajouter deux Tape musculaires facilitateurs. Les muscles seraient le jambier antérieur et le péronier antérieur. Deux tape inhibiteurs sur le triceps (muscle hypoextensible-contracté ) finaliseraient enfin ces applications. Pour découvrir la pose de ces 4 tapes inscrivez-vous sur la newsletter.</p>
<p>Il en est fini des applications appropriées au pied creux varus. Dans un prochain article nous envisagerons des applications à promouvoir sur un pied plat valgus.</p>
<p>L’article <a href="https://commentposeruntape.fr/un-tape-une-aponevrose/">L&#8217;APONÉVROSE PLANTAIRE ET SI ON LUI METTAIT UN TAPE</a> est apparu en premier sur <a href="https://commentposeruntape.fr">Comment poser un Kinesiotape</a>.</p>
]]></content:encoded>
					
					<wfw:commentRss>https://commentposeruntape.fr/un-tape-une-aponevrose/feed/</wfw:commentRss>
			<slash:comments>0</slash:comments>
		
		
		<post-id xmlns="com-wordpress:feed-additions:1">32726</post-id>	</item>
		<item>
		<title>UN TAPE, DES CISEAUX ET C&#8217;EST PARTIE&#8230;</title>
		<link>https://commentposeruntape.fr/tape/?utm_source=rss&#038;utm_medium=rss&#038;utm_campaign=tape</link>
					<comments>https://commentposeruntape.fr/tape/#respond</comments>
		
		<dc:creator><![CDATA[laurent]]></dc:creator>
		<pubDate>Mon, 02 Dec 2019 23:29:42 +0000</pubDate>
				<category><![CDATA[Techniques et propriétés]]></category>
		<guid isPermaLink="false">https://commentposeruntape.fr/?p=32354</guid>

					<description><![CDATA[<p>Un tape, des ciseaux et c&#8217;est partie&#8230;. &#160; &#160; Précédemment nous avons énuméré l&#8217;ensemble des indications, principes, et  propriétés du Tape ces fameuses bandes. En quelques sortes les fondamentaux pour ne pas faire n&#8217;importe quoi pas et ne pas être dangereux . Dans cette continuité et avant d&#8217;attaquer ce qui [&#8230;]</p>
<p>L’article <a href="https://commentposeruntape.fr/tape/">UN TAPE, DES CISEAUX ET C&#8217;EST PARTIE&#8230;</a> est apparu en premier sur <a href="https://commentposeruntape.fr">Comment poser un Kinesiotape</a>.</p>
]]></description>
										<content:encoded><![CDATA[<h3>Un tape, des ciseaux et c&#8217;est partie&#8230;.</h3>
<p>&nbsp;</p>
<p>&nbsp;</p>
<p>Précédemment nous avons énuméré l&#8217;ensemble des <a href="https://commentposeruntape.fr/les-contre-indications-fonctions-schemas-de-pose/">indications,</a> principes, et  propriétés du Tape ces fameuses bandes. En quelques sortes les fondamentaux pour ne pas faire n&#8217;importe quoi pas et ne pas être dangereux .</p>
<p>Dans cette continuité et avant d&#8217;attaquer ce qui vous intéressera le plus, la pose en elle-même, il me paraissait utile de partir sur des bonnes bases. Et pour cela il va falloir retourner en enfance, et découper&#8230;</p>
<p>En conséquence pour compléter notre initiation, nous allons prendre du temps et mettre en place les techniques de coupe. Ces dernières sont conçues pour se rapprocher des structures anatomiques et supporter les effets recherchés.</p>
<p>&nbsp;</p>
<h6><em><strong><span style="font-size: 14pt;">Plusieurs Kinésiotape vont être à notre disposition, regardons comment les réaliser:</span></strong></em></h6>
<ul>
<li><strong>&#8211; Le Tape en I</strong>   (1&#8217;50&#8221; de la vidéo)</li>
</ul>
<p>Il est approprié pour presque toutes les applications comme musculaires (inhibitrices et tonifiantes), ligamentaires, tendineuses, décompressives, antalgiques. Les faibles et très fortes tensions d&#8217;étirements le supportent.</p>
<ul>
<li><strong>&#8211; Le Tape en Y </strong> (3&#8217;55&#8221; de la vidéo)</li>
</ul>
<p>Il s&#8217;agit d&#8217;une bande en I avec une partie coupée en son milieu sans aller jusqu&#8217;au bout.</p>
<p>D&#8217;abord il est idéal pour englober les muscles larges, ensuite les fascias l&#8217;adorent. Nous l&#8217;utiliserons aussi pour recentrer la rotule.  Les très fortes tensions d&#8217;étirements l&#8217;accompagnent.</p>
<ul>
<li><strong>&#8211; Le Tape Donut et son cousin le Donut en X </strong> (5&#8217;45&#8221; de la vidéo)</li>
</ul>
<p>C&#8217;est un kinésiotape en I avec un trou en son milieu.</p>
<p>Il est adapté pour les fortes inflammations et douleurs, où le trou est placé sur l&#8217;épicentre. 15 à 25% de tension voir 100% d&#8217;étirements lui seront accordées.</p>
<ul>
<li><strong>&#8211; Le Kinésiotape en éventail </strong> (7&#8217;20&#8221; de la vidéo)</li>
</ul>
<p>Une bande rectangle avec des franges.</p>
<p>C&#8217;est le Tape drainant par excellence. On le retrouve sous deux formes, à 5 fans (de 1 cm chacun) et/où à 4 fans. Ainsi lors de présence d&#8217;hématome et d&#8217;oedème, ils nous aident fortement.</p>
<ul>
<li><strong>&#8211; Le Tape en X</strong>  (11&#8217;25&#8221; de la vidéo)</li>
</ul>
<p>Un Tape en I coupé de part et d&#8217;autre en leur milieu pour former un X.</p>
<p>C&#8217;est le tape parfait pour les muscles à large insertion.</p>
<ul>
<li><strong>&#8211; Le Web Strip application </strong> (12&#8217;25&#8221; de la vidéo)</li>
</ul>
<p>Vous voulez une  décompression cutanée, alors on fonce. En conséquence, pour ce type de Tape, j&#8217;associe des faibles ou fortes tensions d&#8217;étirements.</p>
<p>&nbsp;</p>
<p>On reprend ensemble et en image</p>
<p><iframe width="400" height="224" src="//www.youtube.com/embed/pWPsjOrQFSk?t=" allowfullscreen="allowfullscreen"></iframe></p>
<p>&nbsp;</p>
<p>Pour finaliser cet article je voudrais vous informer ou reprendre certaines règles de bienséances en ce qui concernent la pose de nos futurs Tape.</p>
<h4> En résumé</h4>
<ul>
<li>L&#8217;application doit se faire sur <em>une peau dégraissée</em>, dénuée de plaies ouvertes et sanguinolentes, et <em>surtout sans poil</em>  (l&#8217;effet doit être cutané et non pileux).</li>
<li>Le tape doit se composer de trois parties:
<ul>
<li>une partie centrale réservée aux effets</li>
<li>et de chaque côté des encrages mesurant généralement deux travers de doigt</li>
</ul>
</li>
<li>Toutes les applications doivent se terminer par des frottements de la bande pour activer la colle.</li>
</ul>
<p>&nbsp;</p>
<p>Pour terminer et avant de découvrir ensemble, l&#8217;apévrosite <a href="https://www.ncbi.nlm.nih.gov/pmc/articles/PMC5962969/">plantaire,</a> dans un prochain article, nous allons appréhender, par cette vidéo, comment retirer un Tape &#8220;sans tout arracher&#8230;&#8221;</p>
<p><iframe width="400" height="224" src="//www.youtube.com/embed/ewdoLoJ0r78" allowfullscreen="allowfullscreen"></iframe></p>
<p>Bon visionnage.</p>
<p>&nbsp;</p>
<p>&nbsp;</p>
<p>&nbsp;</p>
<p>L’article <a href="https://commentposeruntape.fr/tape/">UN TAPE, DES CISEAUX ET C&#8217;EST PARTIE&#8230;</a> est apparu en premier sur <a href="https://commentposeruntape.fr">Comment poser un Kinesiotape</a>.</p>
]]></content:encoded>
					
					<wfw:commentRss>https://commentposeruntape.fr/tape/feed/</wfw:commentRss>
			<slash:comments>0</slash:comments>
		
		
		<post-id xmlns="com-wordpress:feed-additions:1">32354</post-id>	</item>
		<item>
		<title>DES APPLICATIONS POUR VOUS IMPRESSIONNER</title>
		<link>https://commentposeruntape.fr/applications-tout-savoir-impressionnant/?utm_source=rss&#038;utm_medium=rss&#038;utm_campaign=applications-tout-savoir-impressionnant</link>
					<comments>https://commentposeruntape.fr/applications-tout-savoir-impressionnant/#respond</comments>
		
		<dc:creator><![CDATA[laurent]]></dc:creator>
		<pubDate>Sun, 14 Jul 2019 06:52:09 +0000</pubDate>
				<category><![CDATA[Techniques et propriétés]]></category>
		<guid isPermaLink="false">https://commentposeruntape.fr/?p=30087</guid>

					<description><![CDATA[<p>JE VEUX TOUT SAVOIR&#8230; &#160; &#160; →     ATTENTION,  une tension supérieure à 50 % inhibe l&#8217;effet de recul du Tape. Il faut mieux moins de tension que trop de tension. &#160; &#160; 1- Applications musculaires elles existent sous deux formes ¹a-  Inhibitrices, détonifiants ou décontractants Rôles:diminuer le tonus, agir [&#8230;]</p>
<p>L’article <a href="https://commentposeruntape.fr/applications-tout-savoir-impressionnant/">DES APPLICATIONS POUR VOUS IMPRESSIONNER</a> est apparu en premier sur <a href="https://commentposeruntape.fr">Comment poser un Kinesiotape</a>.</p>
]]></description>
										<content:encoded><![CDATA[<h1><span><em><strong>JE VEUX TOUT SAVOIR&#8230;</strong></em></span></h1>
<p>&nbsp;</p>
<p>&nbsp;</p>
<p style="text-align: center;"><span style="color: #008000;"></span></p>
<p style="text-align: center;"><span style="font-size: 24pt; color: #008000;">→  </span>   ATTENTION,  une tension supérieure à 50 % inhibe l&#8217;effet de recul du Tape. Il faut mieux moins de tension que trop de tension.</p>
<p>&nbsp;</p>
<p>&nbsp;</p>
<div id="attachment_30009" style="width: 345px" class="wp-caption alignright"><img loading="lazy" decoding="async" aria-describedby="caption-attachment-30009" width="335" height="526" title="application musculaire inhibitrice" class="wp-image-30009" alt="" src="https://commentposeruntape.fr/wp-content/uploads/2019/06/muscle-disto-proximal-191x300.jpg" srcset="https://commentposeruntape.fr/wp-content/uploads/2019/06/muscle-disto-proximal-191x300.jpg 191w, https://commentposeruntape.fr/wp-content/uploads/2019/06/muscle-disto-proximal-600x942.jpg 600w, https://commentposeruntape.fr/wp-content/uploads/2019/06/muscle-disto-proximal-768x1206.jpg 768w, https://commentposeruntape.fr/wp-content/uploads/2019/06/muscle-disto-proximal-652x1024.jpg 652w, https://commentposeruntape.fr/wp-content/uploads/2019/06/muscle-disto-proximal.jpg 1080w" sizes="(max-width: 335px) 100vw, 335px" /><p id="caption-attachment-30009" class="wp-caption-text">application musculaire inhibitrice</p></div>
<h2><span style="color: #008000; font-size: 14pt;"><em><strong><span style="color: #008000;">1- Applications musculaires</span></strong></em></span></h2>
<p>elles existent sous deux formes</p>
<p><span><span style="color: #008000;"><em><strong>¹a-  Inhibitrices, détonifiants ou décontractants</strong></em></span><br />
</span></p>
<p>Rôles:diminuer le tonus, agir sur l&#8217;hypertonie, la contracture, et la sur-utilisation musculaire.</p>
<p>D&#8217;abord je pose l&#8217;extrémité du Tape ou ancrage initial au niveau distal du muscle, c&#8217;est à dire la plus éloignée du centre du corps, deux travers de doigt sous l&#8217;insertion du tendon (1). Le muscle est en position neutre. Ensuite je place le muscle en situation d&#8217;étirement. Je déroule le Tape (2) parallèlement aux fibres tendineuses et musculaires <span style="color: #008000;"><em><strong>avec</strong></em></span> <strong><span style="color: #008000;"><em>une</em> tension comprise entre 15 et 25% </span></strong>(et pas plus).</p>
<p>Au final je termine par positionner l&#8217;extrémité ou l&#8217;ancrage final, deux travers de doigt au dessus du tendon original c&#8217;est à dire le plus près du centre du corps, ou proximal du muscle (3). Ce dernier est positionné sans tension en position neutre.</p>
<p>&nbsp;</p>
<p><em><strong><span style="color: #008000;"><img loading="lazy" decoding="async" width="318" height="499" class=" wp-image-30144 alignleft" alt="" src="https://commentposeruntape.fr/wp-content/uploads/2019/06/tape-musculaire-proximo-distal-191x300.jpg" srcset="https://commentposeruntape.fr/wp-content/uploads/2019/06/tape-musculaire-proximo-distal-191x300.jpg 191w, https://commentposeruntape.fr/wp-content/uploads/2019/06/tape-musculaire-proximo-distal-600x942.jpg 600w, https://commentposeruntape.fr/wp-content/uploads/2019/06/tape-musculaire-proximo-distal-768x1206.jpg 768w, https://commentposeruntape.fr/wp-content/uploads/2019/06/tape-musculaire-proximo-distal-652x1024.jpg 652w, https://commentposeruntape.fr/wp-content/uploads/2019/06/tape-musculaire-proximo-distal.jpg 1080w" sizes="(max-width: 318px) 100vw, 318px" />²a- Tonifiantes ou facilitatrices</span></strong></em></p>
<p>Rôle: augmenter le tonus, agir sur <a href="https://www.passeportsante.net/fr/Maux/Problemes/Fiche.aspx?doc=hypotonie">l&#8217;hypotonie musculaire</a>.</p>
<p>D&#8217;abord je pose l&#8217;extrémité du tape ou l&#8217;ancrage initial au niveau proximal du muscle, deux travers de doigt au dessus de l&#8217;insertion du tendon (1). Le membre est dans une position neutre. Ensuite nous plaçons le muscle en situation d&#8217;étirement.  Je déroule le Tape (2) parallèlement aux fibres tendineuses et musculaires <span style="color: #008000;"><em><strong>avec une tension comprise entre 15 et 35%</strong></em></span> (et pas plus).</p>
<p>Je termine par positionner l&#8217;extrémité du tape ou l&#8217;ancrage final, deux travers de doigt au dessous du tendon, à l&#8217;insertion distal du muscle (3). Ce dernier est positionné sans tension en position neutre.</p>
<p>&nbsp;</p>
<h2><em><a href="https://commentposeruntape.fr/des-montages-kinesiotape/"><span style="font-size: 14pt;"><strong><span style="color: #008000;">2- Applications ligamentaires et tendineuses</span></strong></span></a><strong></strong></em></h2>
<p><em><span style="color: #008000;">²a-Ligamentaires</span></em></p>
<p>Premièrement et de façon préférentielle ces techniques sont utilisées pour stimuler les propriocepteurs (structures nerveuses périphériques) lors des mouvements (action/réaction). En même temps le Tape exerce une action sur les nocicepteurs (récepteurs sensoriels de la douleur). L&#8217;application du Kinésiotape diminue ainsi la pression sur ces derniers.</p>
<p>Tout d&#8217;abord je positionne l&#8217;articulation en position neutre.  le Tape préalablement mesuré sera placé <span style="color: #008000;"><em><strong>avec une tension comprise entre 75 -100 % </strong></em></span>dans sa partie centrale sur la longueur du ligament. Attention pour finir, les extrémités du Tape doivent avoir des longueurs équivalentes à celle du ligament et seront posées sans aucune tension.</p>
<p><span style="color: #008000;">²b-Tendineuses</span></p>
<p>Pour commencer je positionne l&#8217;extrémité du Tape ou l&#8217;ancrage distal au tendon, sans tension. Ensuite, après avoir installé le tendon en position d&#8217;étirement, je déroule le Tape <span style="color: #008000;"><strong><em>avec une</em> <em>tension comprise  entre 50 à 75%</em></strong></span>. En dernier lieu, je colle, l&#8217;extrémité ou l&#8217;ancrage proximal au tendon, sans tension.</p>
<p>Pour compléter les applications tendineuses, je les associe régulièrement à un Tape musculaire inhibiteur. Je place, ce dernier, sur le corps musculaire des tendons incriminés.</p>
<p>Allons y progressivement,  nous verrons dans un autre article les autres applications.</p>
<p>&nbsp;</p>
<p>L’article <a href="https://commentposeruntape.fr/applications-tout-savoir-impressionnant/">DES APPLICATIONS POUR VOUS IMPRESSIONNER</a> est apparu en premier sur <a href="https://commentposeruntape.fr">Comment poser un Kinesiotape</a>.</p>
]]></content:encoded>
					
					<wfw:commentRss>https://commentposeruntape.fr/applications-tout-savoir-impressionnant/feed/</wfw:commentRss>
			<slash:comments>0</slash:comments>
		
		
		<post-id xmlns="com-wordpress:feed-additions:1">30087</post-id>	</item>
		<item>
		<title>DES CONTRE-INDICATIONS, DES TECHNIQUES DE POSE POUR NE PAS FAIRE N&#8217;IMPORTE QUOI</title>
		<link>https://commentposeruntape.fr/les-contre-indications-fonctions-schemas-de-pose/?utm_source=rss&#038;utm_medium=rss&#038;utm_campaign=les-contre-indications-fonctions-schemas-de-pose</link>
					<comments>https://commentposeruntape.fr/les-contre-indications-fonctions-schemas-de-pose/#respond</comments>
		
		<dc:creator><![CDATA[laurent]]></dc:creator>
		<pubDate>Sun, 23 Jun 2019 16:26:10 +0000</pubDate>
				<category><![CDATA[Techniques et propriétés]]></category>
		<guid isPermaLink="false">https://commentposeruntape.fr/?p=29955</guid>

					<description><![CDATA[<p>&#160; Nous avons vu ensemble, dans les articles précédents, les caractéristiques et les propriétés des bandes élastiques adhésives. Maintenant, je vous présente les contre-indications à l&#8217;application d&#8217;un Tape. En deuxième partie, une vidéo dévoilera les différentes découpes du Tape et ainsi que leurs fonctions. Depuis la naissance du Tape en [&#8230;]</p>
<p>L’article <a href="https://commentposeruntape.fr/les-contre-indications-fonctions-schemas-de-pose/">DES CONTRE-INDICATIONS, DES TECHNIQUES DE POSE POUR NE PAS FAIRE N&#8217;IMPORTE QUOI</a> est apparu en premier sur <a href="https://commentposeruntape.fr">Comment poser un Kinesiotape</a>.</p>
]]></description>
										<content:encoded><![CDATA[<p>&nbsp;</p>
<p>Nous avons vu ensemble, dans les articles précédents, les caractéristiques et<span style="color: #008000;"><a href="https://commentposeruntape.fr/mais-alors-quelles-sont-ces-proprietes/" style="color: #008000;"> les <em><strong>propriétés des bandes élastiques adhésives</strong></em></a></span>. Maintenant, je vous présente les contre-indications à l&#8217;application d&#8217;un Tape. En deuxième partie, une vidéo dévoilera les différentes découpes du Tape et ainsi que leurs fonctions.</p>
<p>Depuis la naissance du Tape en 1973 avec le Dr KENZO KAISE, plusieurs écoles aux théories différentes s&#8217;opposent. La technicité présentée, afin de vous aider, devra respecter un sens et une tension pré-définie pour chaque application comme le préconise son fondateur.</p>
<p>&nbsp;</p>
<h1><span style="font-size: 24pt; color: #008000;"><em><strong>&#8211; Quelles sont les contre-indications ?</strong></em></span></h1>
<p>En premier lieu, si vous avez le moindre doute ou la moindre inquiétude, prenez conseils auprès de votre médecin avant l&#8217;application d&#8217;un Tape.</p>
<ul>
<li>Au préalable, vous ne pouvez pas poser de Tape si un cancer ou une infection en phase d&#8217;évolution vous a été diagnostiqué. Rappelons que le Tape, de par ses effets circulatoires favorise la mobilité, la propagation des cellules et le flux sanguin.</li>
<li>La présence de plaies ou des cicatrices non refermées en voie de guérison est incompatible avec la mise en place des bandages. Il est recommandé de ne pas appliquer ces derniers sur les grains de beauté.</li>
<li>Les allergies et les maladies de peau tels que le psoriasis sont contre-indiquées.</li>
<li>Les sensations de démangeaison, de chaleur doivent vous alerter et vous mener au retrait du bandage.</li>
<li>Lors d&#8217;une déchirure musculaire avec saignement et hématome, vous ne pouvez pas poser de Tape durant un delais de 72 heures (le Tape entretiendrait le saignement). C&#8217;est comme pour les anti-inflammatoires (pas avant 72 heures).</li>
<li>Les femmes enceintes de moins de trois mois ne peuvent profiter de la pose de Tape</li>
</ul>
<p>Pour finir, et sans être une contre-indication, l&#8217;efficacité d&#8217;un Tape est altérée par une importante pilosité. Effectivement c&#8217;est la peau qui doit être en mouvement. L&#8217;effet désiré ne sera plus le même : vous voulez vous épiler ?</p>
<div id="attachment_30094" style="width: 262px" class="wp-caption aligncenter"><a href="https://www.youtube.com/watch?v=zauOzG7kJAA"><img loading="lazy" decoding="async" aria-describedby="caption-attachment-30094" src="https://commentposeruntape.fr/wp-content/uploads/2019/06/contre-indication-tape-252x300.jpg" alt="ça va pas m'aider à poser un tape" class="wp-image-30094 size-medium" title="ça va pas m'aider à poser un tape" width="252" height="300" srcset="https://commentposeruntape.fr/wp-content/uploads/2019/06/contre-indication-tape-252x300.jpg 252w, https://commentposeruntape.fr/wp-content/uploads/2019/06/contre-indication-tape-600x715.jpg 600w, https://commentposeruntape.fr/wp-content/uploads/2019/06/contre-indication-tape-768x915.jpg 768w, https://commentposeruntape.fr/wp-content/uploads/2019/06/contre-indication-tape-859x1024.jpg 859w, https://commentposeruntape.fr/wp-content/uploads/2019/06/contre-indication-tape.jpg 1080w" sizes="(max-width: 252px) 100vw, 252px" /></a><p id="caption-attachment-30094" class="wp-caption-text">la pilosité est un inconvénient à la pose du kinésiotape</p></div>
<p>&nbsp;</p>
<h1><span style="color: #008000;"><strong><span style="font-size: 24pt;"><em>&#8211; Je retourne en enfance</em></span>, <span style="font-size: 14pt;"><em>petit quart d&#8217;heure découpage</em></span></strong></span></h1>
<p>Ce qui suit constitue la base,  la première étape en somme, d&#8217;une pose parfaite.</p>
<p>&nbsp;</p>
<p><iframe width="360" height="202" src="//www.youtube.com/embed/pWPsjOrQFSk?t=" allowfullscreen="allowfullscreen"></iframe><span style="font-size: 24pt;"></span></p>
<h1 style="text-align: left;"><span><em><strong> </strong></em></span></h1>
<p><strong><em>Dans un prochain article</em></strong>, et dans<span style="font-size: 14pt;"> l&#8217;espoir de ne pas devenir le paria de ma profession, nous allons voir ensemble quelques fondamentaux de l&#8217;application du Tape. Ce procédé  vous rend une aide préventive à l&#8217;approche d&#8217;une compétition, à la suite d&#8217;une semaine intensive. Il pourra vous être utile dans le cadre d&#8217;une récupération active. Il sera aussi un complément thérapeutique en cas de blessures . Par contre  le Tape ne se substitue nullement à un traitement médical.</span></p>
<h1 style="text-align: left;"></h1>
<p>&nbsp;</p>
<p>L’article <a href="https://commentposeruntape.fr/les-contre-indications-fonctions-schemas-de-pose/">DES CONTRE-INDICATIONS, DES TECHNIQUES DE POSE POUR NE PAS FAIRE N&#8217;IMPORTE QUOI</a> est apparu en premier sur <a href="https://commentposeruntape.fr">Comment poser un Kinesiotape</a>.</p>
]]></content:encoded>
					
					<wfw:commentRss>https://commentposeruntape.fr/les-contre-indications-fonctions-schemas-de-pose/feed/</wfw:commentRss>
			<slash:comments>0</slash:comments>
		
		
		<post-id xmlns="com-wordpress:feed-additions:1">29955</post-id>	</item>
		<item>
		<title>LE CHOIX EST FAIT</title>
		<link>https://commentposeruntape.fr/96-fibres-de-coton-4-elasthanne/?utm_source=rss&#038;utm_medium=rss&#038;utm_campaign=96-fibres-de-coton-4-elasthanne</link>
					<comments>https://commentposeruntape.fr/96-fibres-de-coton-4-elasthanne/#respond</comments>
		
		<dc:creator><![CDATA[laurent]]></dc:creator>
		<pubDate>Wed, 19 Jun 2019 22:02:56 +0000</pubDate>
				<category><![CDATA[Techniques et propriétés]]></category>
		<guid isPermaLink="false">https://commentposeruntape.fr/?p=29808</guid>

					<description><![CDATA[<p>Tmax®Tape se compose à 96% de fibres de coton et à 4% élasthanne. La finesse de sa texture nous fait très vite oublier sa présence. Son élasticité ne dépasse pas 160%. Les bandes sont pré étirées à 10% sur le support papier. La colle utilisée est une acrylique médicale hypoallergique [&#8230;]</p>
<p>L’article <a href="https://commentposeruntape.fr/96-fibres-de-coton-4-elasthanne/">LE CHOIX EST FAIT</a> est apparu en premier sur <a href="https://commentposeruntape.fr">Comment poser un Kinesiotape</a>.</p>
]]></description>
										<content:encoded><![CDATA[<p><span style="font-size: 14pt;"><strong><span style="font-size: 18pt;"><span style="color: #42964c;"><a href="https://commentposeruntape.fr/shop-2/shop/" style="color: #42964c;"><span style="color: #008000;">Tmax®Tape</span></a></span> se compose à 96% de fibres de coton</span></strong></span></p>
<p>et à 4% élasthanne. La finesse de sa texture nous fait très vite oublier sa présence. Son élasticité ne dépasse pas 160%. Les bandes sont pré étirées à 10% sur le support papier. La colle utilisée est une acrylique médicale hypoallergique et sans latex. Cette colle augmente son maintien après échauffement d&#8217;où la nécessité de frotter la bande une fois appliquée.</p>
<p>&nbsp;</p>
<p><span style="font-size: 18pt;"><strong>Mais pourquoi lui ?</strong></span></p>
<p>&nbsp;</p>
<p>Avant de choisir ce produit, j&#8217;ai recencé 15 manufactures en Europe (en Allemagne et en Angleterre), aux États-Unis, en Chine et au Japon. J&#8217;ai fait venir ces rouleaux afin de les tester sur moi, ma famille, des joueurs Professionnels de l&#8217;équipe du Lanester Handball (club de N1). Ma vie professionnelle m&#8217;avait déjà permis de repérer différentes qualités de fibres de coton, d&#8217;attester de leurs défauts. La mise en situation sportive, test ultime afin de valider notre choix, a été rendu possible par la collaboration exceptionnelle de mes amis<span style="color: #000000;"> <strong>Joris NIVORE</strong></span><strong></strong> et<span style="color: #000000;"> <a href="https://www.facebook.com/eddysaintcyr12/" style="color: #000000;"><strong>Eddy SAINT CYR</strong></a></span>. Les tests portaient, sur la tenue du Tape (1 à 5 jours) pendant les entraînements (jusqu&#8217;à 4 consécutifs), sur la qualité des tissus à l&#8217;issue des douches, et bien évidement sur la conservation des pouvoirs élastiques  (avec des prises de mesure avant et après utilisation).</p>
<p>&nbsp;</p>
<p><a href="https://commentposeruntape.fr/shop-2/shop/la-boutique/"><span style="font-size: 18pt; color: #008000;"><strong>Et finalement et sans contestation THE WINNER IS</strong></span></a></p>
<p><span style="font-size: 18pt; color: #008000;"><strong>Tmax®Tape</strong></span> un produit sud coréen.</p>
<p>Une entreprise au service du sport depuis 2006, et fabriquant des bandes autocollantes élastiques depuis 2012. Rien à voir avec les contrefaçons Chinoises. Il ne s&#8217;agit pas d&#8217;une copie de&#8230;. mais d&#8217;un produit issu d&#8217;une expertise, de recherches mises en place par des professionnels.</p>
<p><a href="https://commentposeruntape.fr/produit/tmaxtape-5cm-5m-bande-kinesiotape-adjuvant-therapeutique/"><img loading="lazy" decoding="async" src="https://commentposeruntape.fr/wp-content/uploads/2019/06/ensemble-tape-web-1-300x300.jpg" alt="" class="aligncenter wp-image-29912 size-medium" width="300" height="300" srcset="https://commentposeruntape.fr/wp-content/uploads/2019/06/ensemble-tape-web-1-300x300.jpg 300w, https://commentposeruntape.fr/wp-content/uploads/2019/06/ensemble-tape-web-1-230x230.jpg 230w, https://commentposeruntape.fr/wp-content/uploads/2019/06/ensemble-tape-web-1-160x160.jpg 160w, https://commentposeruntape.fr/wp-content/uploads/2019/06/ensemble-tape-web-1-150x150.jpg 150w, https://commentposeruntape.fr/wp-content/uploads/2019/06/ensemble-tape-web-1.jpg 400w" sizes="(max-width: 300px) 100vw, 300px" /></a></p>
<p>&nbsp;</p>
<p>L’article <a href="https://commentposeruntape.fr/96-fibres-de-coton-4-elasthanne/">LE CHOIX EST FAIT</a> est apparu en premier sur <a href="https://commentposeruntape.fr">Comment poser un Kinesiotape</a>.</p>
]]></content:encoded>
					
					<wfw:commentRss>https://commentposeruntape.fr/96-fibres-de-coton-4-elasthanne/feed/</wfw:commentRss>
			<slash:comments>0</slash:comments>
		
		
		<post-id xmlns="com-wordpress:feed-additions:1">29808</post-id>	</item>
		<item>
		<title>DES APPLICATIONS EN TOUTES SAISONS&#8230;&#8230;. J&#8217;UTILISE LE KINÉSIOTAPE</title>
		<link>https://commentposeruntape.fr/des-montages-kinesiotape/?utm_source=rss&#038;utm_medium=rss&#038;utm_campaign=des-montages-kinesiotape</link>
					<comments>https://commentposeruntape.fr/des-montages-kinesiotape/#respond</comments>
		
		<dc:creator><![CDATA[laurent]]></dc:creator>
		<pubDate>Fri, 14 Jun 2019 23:15:37 +0000</pubDate>
				<category><![CDATA[Techniques et propriétés]]></category>
		<guid isPermaLink="false">https://commentposeruntape.fr/?p=29676</guid>

					<description><![CDATA[<p>&#160; Ces bandes élastiques sont un effet mode pour certains, un effet placébo pour d&#8217;autres; mais elles sont, à mon avis, une véritable évolution dans l&#8217;accompagnement thérapeutique du sportif. De ses propriétés mécaniques, neurophysiologiques et psychologiques vont naître des montages au service de l&#8217;athlète. Quelles sont ces montages, vous allez [&#8230;]</p>
<p>L’article <a href="https://commentposeruntape.fr/des-montages-kinesiotape/">DES APPLICATIONS EN TOUTES SAISONS&#8230;&#8230;. J&#8217;UTILISE LE KINÉSIOTAPE</a> est apparu en premier sur <a href="https://commentposeruntape.fr">Comment poser un Kinesiotape</a>.</p>
]]></description>
										<content:encoded><![CDATA[<p>&nbsp;</p>
<p>Ces bandes élastiques sont un effet mode pour certains, un effet placébo pour d&#8217;autres; mais elles sont, à mon avis, une véritable évolution dans l&#8217;accompagnement thérapeutique du sportif. De ses propriétés mécaniques, neurophysiologiques et psychologiques vont naître des montages au service de l&#8217;athlète.</p>
<h2 style="text-align: center;"><span style="font-size: 18pt; color: #008000;"><strong style="font-size: 18pt;"><em>Quelles sont ces montages, v</em></strong><strong><em>ous allez me demander alors, ?</em></strong></span></h2>
<p>Avant tout, l&#8217;efficacité de l&#8217;application du Tape dépendra de votre diagnostic, du protocole à mettre en place et de la technique à exercer.</p>
<p><em><strong><span style="color: #008000;">Les types de montage à réaliser sont:</span></strong></em></p>
<ol>
<li style="list-style-type: none;">
<ol>
<li style="list-style-type: none;">
<ol>
<li style="list-style-type: none;">
<ol>
<li><span style="color: #008000;"><em><strong>Drainant</strong></em></span></li>
<li><span style="color: #008000;"><em><strong>Antalgique +++   décompressif</strong></em></span></li>
<li><span style="color: #008000;"><em><strong>Correcteur</strong></em></span></li>
<li><span style="color: #008000;"><em><strong>Tonifiant</strong></em></span></li>
<li><span style="color: #008000;"><em><strong>Inhibiteur</strong></em></span></li>
<li><span style="color: #008000;"><em><strong>Stabilisateur et reprogrammateur</strong></em></span></li>
</ol>
</li>
</ol>
</li>
</ol>
</li>
</ol>
<p>&nbsp;</p>
<p style="text-align: center;"><span style="font-size: 14pt;">Ces différentes poses ont pour but de rétablir une situation anormale, un déséquilibre&#8230;. <span style="color: #008000;"><strong> </strong></span></span></p>
<p style="text-align: center;"><span style="font-size: 14pt;"><span style="color: #008000;"><strong>Il ne s&#8217;agit </strong></span></span><strong style="color: #008000; font-size: 18.6667px;">en aucun cas </strong><span style="color: #008000;"><strong>d&#8217;un traitement</strong></span><span style="font-size: 14pt;">. En conséquence, le Tape sera un adjuvant thérapeutique, une aide à la reprise sportive.</span></p>
<p>&nbsp;</p>
<p><a href="https://slideplayer.fr/slide/3729840/"><img loading="lazy" decoding="async" src="https://commentposeruntape.fr/wp-content/uploads/2019/06/star-jocko2-tape-web-241x300.jpg" alt="tape musculaire" class="aligncenter wp-image-29908 size-medium" width="241" height="300" srcset="https://commentposeruntape.fr/wp-content/uploads/2019/06/star-jocko2-tape-web-241x300.jpg 241w, https://commentposeruntape.fr/wp-content/uploads/2019/06/star-jocko2-tape-web-600x747.jpg 600w, https://commentposeruntape.fr/wp-content/uploads/2019/06/star-jocko2-tape-web-768x956.jpg 768w, https://commentposeruntape.fr/wp-content/uploads/2019/06/star-jocko2-tape-web-823x1024.jpg 823w, https://commentposeruntape.fr/wp-content/uploads/2019/06/star-jocko2-tape-web.jpg 1080w" sizes="(max-width: 241px) 100vw, 241px" /></a></p>
<p><a href="https://commentposeruntape.fr/des-montages-kinesiotape/?preview_id=29676&amp;preview_nonce=9386c69303&amp;_thumbnail_id=-1&amp;preview=true"><span style="color: #008000;"><span style="color: #008000;">Dans le cadre musculaire</span>,</span></a> l&#8217;application s&#8217;utilise afin de récupérer une fonction équilibrée entre agoniste et antagoniste (par exemple quadriceps/ ischiojambiers). Le Tape peut avoir un effet tonifiant dans le cas d&#8217;hypotonie, de faiblesse, ou inhibiteur lors de contracture ou  d&#8217;hypertonie. Les stimulations extéroceptives, apportées par le Tape favorisent, renforcent, soutiennent les réponses musculaires.</p>
<p>En ce qui concerne l&#8217;application tendineuse, c&#8217;est lors de surmenage, d&#8217;inflammation que le Tape prouve son utilité. Par contre la technique ligamentaire se conçoit uniquement, à mes yeux, dans la reprogrammation, la stimulation proprioceptive et non dans le cadre mobilisatrice.</p>
<p>Pour ce qui est de l&#8217;application articulaire,  l&#8217;objectif du repositionnement (exemple sur la rotule, et l&#8217;épaule) est la plus appropriée.</p>
<p>Au niveau lymphatique, et vasculaire (hématome), le Tape, par décompression des tissus sous cutanés, va vous impressionner.</p>
<p>En ultime application, le Tape peut corriger des fascias, par l&#8217;assouplissement des adhérences musculaires.</p>
<p>En fonction des auteurs les techniques de pose vont varier&#8230;..</p>
<p>L’article <a href="https://commentposeruntape.fr/des-montages-kinesiotape/">DES APPLICATIONS EN TOUTES SAISONS&#8230;&#8230;. J&#8217;UTILISE LE KINÉSIOTAPE</a> est apparu en premier sur <a href="https://commentposeruntape.fr">Comment poser un Kinesiotape</a>.</p>
]]></content:encoded>
					
					<wfw:commentRss>https://commentposeruntape.fr/des-montages-kinesiotape/feed/</wfw:commentRss>
			<slash:comments>0</slash:comments>
		
		
		<post-id xmlns="com-wordpress:feed-additions:1">29676</post-id>	</item>
	</channel>
</rss>
